오산 신장동 치과 응급 앞니 (법랑질) 파절 부위, 신경치료 없이 레진 치료 과정 통해 치아 유지한 사례
안녕하세요
오산 신장동 치과 입니다.
오늘은 앞니 파절로 급하게 내원하셨던
응급 환자 사례를 소개해드리려 합니다.
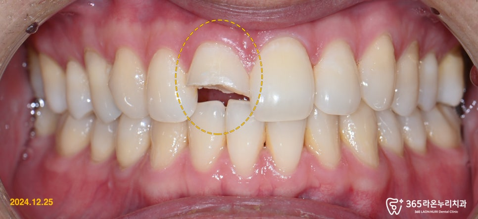
『 “앞니가 아예 깨졌어요!!” 』
낙상 사고로 인해 앞니가 깨진 환자분께서
당일 진료가 가능한 본 원으로
빠르게 내원하셨습니다.
구강 사진으로 봐도
앞니 하나가 심하게 파절된 모습이였는데요.
「 오산 신장동 치과 로 오기까지
얼마나 놀라셨을까요? 」
우선 엑스레이 촬영을 통해
정확하게 치아의 상태를
파악할 필요가 있습니다.

엑스레이와 앞니의 상태를
종합적으로 판단했을 때,
치수가 드러난 증상은 딱히
없어 보였습니다.

오산 신장동 치과 에서는
치수가 아직 살아 있는 것을
확인하고 신경 치료 없이
자연 치아로 최대한 살려내기로
결심하게 되었습니다.
우선, 기존 파절면 부위에
물을 뿌리고 periomate를 사용하여
추가적인 세마를 진행해드렸습니다.
쉽게 말해서 ‘고급 파우더 재료’와
공기, 그리고 바람의 압력을 사용해
접근이 어려운 곳까지 깔끔하게
케어해드렸습니다.
또한 스케일링 전 후로 치태나 착색 제거에
유리하고 전용 팁을 사용하여 깊은 치주낭
또는 임플란트 주위 청소도 가능하기 때문에
오산 신장동 치과 에서는 애용하고 있는
장비 중 하나입니다.

깔끔하게 치면 연마 후, 파절 된 곳을
레진 치료를 통해 깔끔하게 복원 해드렸는데요!
신경치료를 하지 않고 원래 치아 형태
그대로의 모습을 최대한 복원해주어,
보존적인 치료를 진행해드렸습니다.
그렇게, 반대편 앞니와 비교해도
손색 없을 만큼 깔끔하고 아름답게
치아가 만들어졌습니다.
성공적으로 마무리된 모습을
보시곤 환자분께서도 놀라실 정도였는데요!
파절 선에 따른 치아 색은
시간이 지나면서, 자연스럽게
보일 것으로 예상했습니다.
모두가 쉬는 연휴에도 원장들과
직원들의 열정으로 환자가 최소
내원 횟수로 한 번에
치료를 받으실 수 있게끔
신속하게 진료를 마쳤습니다.
그렇게 자신의 치아를 살려서
일상 생활에도 바로 투입이
가능하도록 레진 치료로
수복해드릴 수 있었습니다.
만일 이처럼 외상으로 인해
치아 파절 등의 응급 상황이 일어난다면,
신속하게 전문가의 도움을 받아보세요!
어쩌면 자연 치아를 살릴 수 있는
마지막 기회일지도 모릅니다. ^^
파절된 앞니라도 심미성을 회복할 수 있도록
숙달된 의료진이
늘 곁에서 도와드리겠습니다.
감사합니다.
신경치료 없이도 파절된 앞니를
무사히 회복하는 데 성공한,
오산 신장동 치과 였습니다.

진료 기간:2024년 12월 25일
