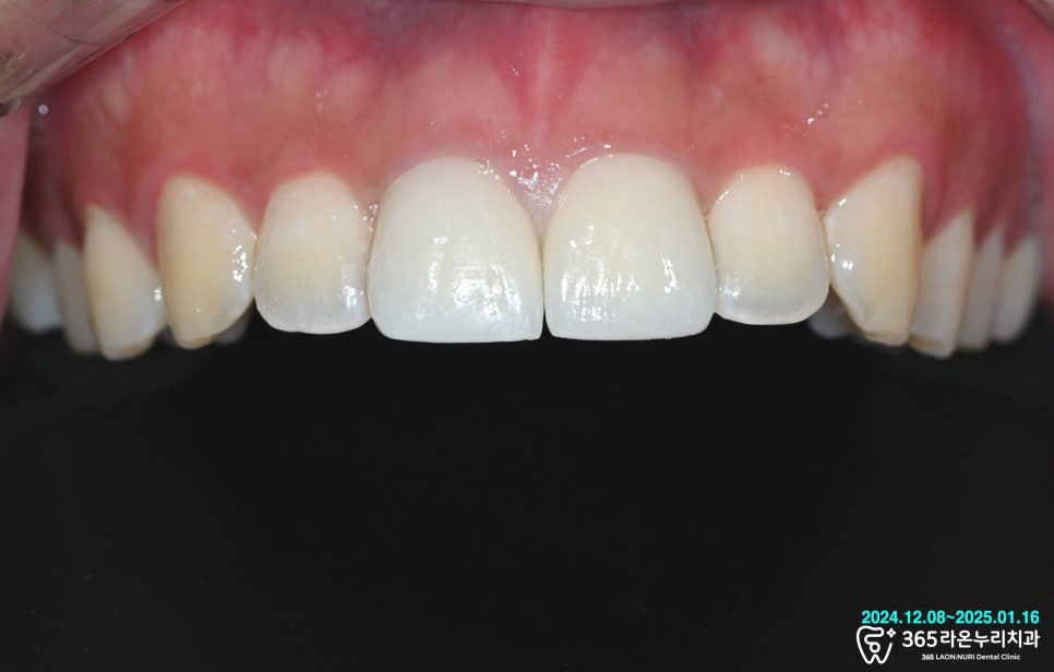
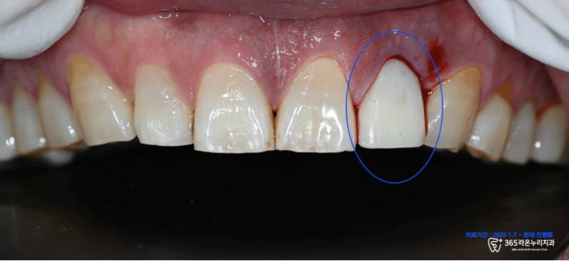
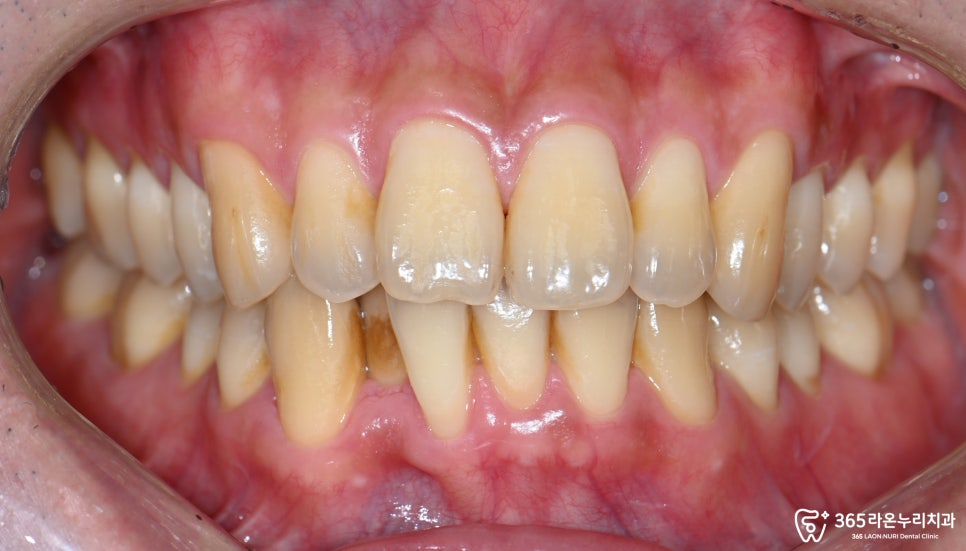
디지털 임플란트의 정석, 오산대역 365라온누리치과 실제 진료 과정을 공개합니다. 발치 후 틀니? 임플란트? 오산대역 치과 에서는 당일 즉시 임시치아 제작하여 바로 식사 가능하게 해드립니다. 당일 전체 임플란트 수술 후 임시치아까지 가능한 오산 신장동 치과 에서 틀니 불편감 해결 불편한 틀니는 그만! 어금니 임플란트 오산역 치과 에서 편하게 진료 받으세요. 치아 부러짐(fracture)로 틀니 사용 어렵다면? 세마역 치과 임플란트 복합 진료 케이스 상악 전체 틀니와 하악 똑딱이 임플란트 : 세교 치과 전후 사례 틀니 사용 중에 임플란트 하고 임시치아로 당일 식사 가능하게 하는 <꿀팁> 서정리역 치과 치아 결손, 치주 질환, 흔들리는 이, 임플란트 로 해결할 수 있을까? 세교동 치과 틀니와 임플란트로 송탄역 치과 에서 깔끔하게 구강 개선했던 케이스 오산세교 치과 에서 틀니 대신 임플란트 올온엑스(all on X)로 식사할 수 있게 되신 60대 환자의 이야기 ‘비용’ 때문에 치료를 망설이고 계시나요? 동탄동 치과 에서 평생 2개까지 가능한 보험 적용해 드립니다. 좌우 단 두 번만에 남촌동 치과 에서 어금니 임플란트로 저작 기능 모두 회복할 수 있습니다. 어금니 상실, 흔들리고 아픈 치아 오산 신장동 치과 에서 순서대로 임플란트 진행하여 전악 해결 케이스 치아 결손으로 고민하신다고요? 서정리역 치과 임플란트 식립 통해 편안한 어금니 만들어드린 증례 (+임시 치아 제작) 지치주위염 있던 사랑니 발치 동탄동 치과 에서는 어떻게 진행해드렸을까? 잇몸 통증 해결한 방법 알아봐요 1 2 3 … 7 Next BACK TO TOP
발치 후 틀니? 임플란트? 오산대역 치과 에서는 당일 즉시 임시치아 제작하여 바로 식사 가능하게 해드립니다. 당일 전체 임플란트 수술 후 임시치아까지 가능한 오산 신장동 치과 에서 틀니 불편감 해결 불편한 틀니는 그만! 어금니 임플란트 오산역 치과 에서 편하게 진료 받으세요. 치아 부러짐(fracture)로 틀니 사용 어렵다면? 세마역 치과 임플란트 복합 진료 케이스 상악 전체 틀니와 하악 똑딱이 임플란트 : 세교 치과 전후 사례 틀니 사용 중에 임플란트 하고 임시치아로 당일 식사 가능하게 하는 <꿀팁> 서정리역 치과 치아 결손, 치주 질환, 흔들리는 이, 임플란트 로 해결할 수 있을까? 세교동 치과 틀니와 임플란트로 송탄역 치과 에서 깔끔하게 구강 개선했던 케이스 오산세교 치과 에서 틀니 대신 임플란트 올온엑스(all on X)로 식사할 수 있게 되신 60대 환자의 이야기 ‘비용’ 때문에 치료를 망설이고 계시나요? 동탄동 치과 에서 평생 2개까지 가능한 보험 적용해 드립니다. 좌우 단 두 번만에 남촌동 치과 에서 어금니 임플란트로 저작 기능 모두 회복할 수 있습니다. 어금니 상실, 흔들리고 아픈 치아 오산 신장동 치과 에서 순서대로 임플란트 진행하여 전악 해결 케이스 치아 결손으로 고민하신다고요? 서정리역 치과 임플란트 식립 통해 편안한 어금니 만들어드린 증례 (+임시 치아 제작) 지치주위염 있던 사랑니 발치 동탄동 치과 에서는 어떻게 진행해드렸을까? 잇몸 통증 해결한 방법 알아봐요 1 2 3 … 7 Next BACK TO TOP
당일 전체 임플란트 수술 후 임시치아까지 가능한 오산 신장동 치과 에서 틀니 불편감 해결 불편한 틀니는 그만! 어금니 임플란트 오산역 치과 에서 편하게 진료 받으세요. 치아 부러짐(fracture)로 틀니 사용 어렵다면? 세마역 치과 임플란트 복합 진료 케이스 상악 전체 틀니와 하악 똑딱이 임플란트 : 세교 치과 전후 사례 틀니 사용 중에 임플란트 하고 임시치아로 당일 식사 가능하게 하는 <꿀팁> 서정리역 치과 치아 결손, 치주 질환, 흔들리는 이, 임플란트 로 해결할 수 있을까? 세교동 치과 틀니와 임플란트로 송탄역 치과 에서 깔끔하게 구강 개선했던 케이스 오산세교 치과 에서 틀니 대신 임플란트 올온엑스(all on X)로 식사할 수 있게 되신 60대 환자의 이야기 ‘비용’ 때문에 치료를 망설이고 계시나요? 동탄동 치과 에서 평생 2개까지 가능한 보험 적용해 드립니다. 좌우 단 두 번만에 남촌동 치과 에서 어금니 임플란트로 저작 기능 모두 회복할 수 있습니다. 어금니 상실, 흔들리고 아픈 치아 오산 신장동 치과 에서 순서대로 임플란트 진행하여 전악 해결 케이스 치아 결손으로 고민하신다고요? 서정리역 치과 임플란트 식립 통해 편안한 어금니 만들어드린 증례 (+임시 치아 제작) 지치주위염 있던 사랑니 발치 동탄동 치과 에서는 어떻게 진행해드렸을까? 잇몸 통증 해결한 방법 알아봐요 1 2 3 … 7 Next BACK TO TOP
불편한 틀니는 그만! 어금니 임플란트 오산역 치과 에서 편하게 진료 받으세요. 치아 부러짐(fracture)로 틀니 사용 어렵다면? 세마역 치과 임플란트 복합 진료 케이스 상악 전체 틀니와 하악 똑딱이 임플란트 : 세교 치과 전후 사례 틀니 사용 중에 임플란트 하고 임시치아로 당일 식사 가능하게 하는 <꿀팁> 서정리역 치과 치아 결손, 치주 질환, 흔들리는 이, 임플란트 로 해결할 수 있을까? 세교동 치과 틀니와 임플란트로 송탄역 치과 에서 깔끔하게 구강 개선했던 케이스 오산세교 치과 에서 틀니 대신 임플란트 올온엑스(all on X)로 식사할 수 있게 되신 60대 환자의 이야기 ‘비용’ 때문에 치료를 망설이고 계시나요? 동탄동 치과 에서 평생 2개까지 가능한 보험 적용해 드립니다. 좌우 단 두 번만에 남촌동 치과 에서 어금니 임플란트로 저작 기능 모두 회복할 수 있습니다. 어금니 상실, 흔들리고 아픈 치아 오산 신장동 치과 에서 순서대로 임플란트 진행하여 전악 해결 케이스 치아 결손으로 고민하신다고요? 서정리역 치과 임플란트 식립 통해 편안한 어금니 만들어드린 증례 (+임시 치아 제작) 지치주위염 있던 사랑니 발치 동탄동 치과 에서는 어떻게 진행해드렸을까? 잇몸 통증 해결한 방법 알아봐요 1 2 3 … 7 Next BACK TO TOP
치아 부러짐(fracture)로 틀니 사용 어렵다면? 세마역 치과 임플란트 복합 진료 케이스 상악 전체 틀니와 하악 똑딱이 임플란트 : 세교 치과 전후 사례 틀니 사용 중에 임플란트 하고 임시치아로 당일 식사 가능하게 하는 <꿀팁> 서정리역 치과 치아 결손, 치주 질환, 흔들리는 이, 임플란트 로 해결할 수 있을까? 세교동 치과 틀니와 임플란트로 송탄역 치과 에서 깔끔하게 구강 개선했던 케이스 오산세교 치과 에서 틀니 대신 임플란트 올온엑스(all on X)로 식사할 수 있게 되신 60대 환자의 이야기 ‘비용’ 때문에 치료를 망설이고 계시나요? 동탄동 치과 에서 평생 2개까지 가능한 보험 적용해 드립니다. 좌우 단 두 번만에 남촌동 치과 에서 어금니 임플란트로 저작 기능 모두 회복할 수 있습니다. 어금니 상실, 흔들리고 아픈 치아 오산 신장동 치과 에서 순서대로 임플란트 진행하여 전악 해결 케이스 치아 결손으로 고민하신다고요? 서정리역 치과 임플란트 식립 통해 편안한 어금니 만들어드린 증례 (+임시 치아 제작) 지치주위염 있던 사랑니 발치 동탄동 치과 에서는 어떻게 진행해드렸을까? 잇몸 통증 해결한 방법 알아봐요 1 2 3 … 7 Next BACK TO TOP
상악 전체 틀니와 하악 똑딱이 임플란트 : 세교 치과 전후 사례 틀니 사용 중에 임플란트 하고 임시치아로 당일 식사 가능하게 하는 <꿀팁> 서정리역 치과 치아 결손, 치주 질환, 흔들리는 이, 임플란트 로 해결할 수 있을까? 세교동 치과 틀니와 임플란트로 송탄역 치과 에서 깔끔하게 구강 개선했던 케이스 오산세교 치과 에서 틀니 대신 임플란트 올온엑스(all on X)로 식사할 수 있게 되신 60대 환자의 이야기 ‘비용’ 때문에 치료를 망설이고 계시나요? 동탄동 치과 에서 평생 2개까지 가능한 보험 적용해 드립니다. 좌우 단 두 번만에 남촌동 치과 에서 어금니 임플란트로 저작 기능 모두 회복할 수 있습니다. 어금니 상실, 흔들리고 아픈 치아 오산 신장동 치과 에서 순서대로 임플란트 진행하여 전악 해결 케이스 치아 결손으로 고민하신다고요? 서정리역 치과 임플란트 식립 통해 편안한 어금니 만들어드린 증례 (+임시 치아 제작) 지치주위염 있던 사랑니 발치 동탄동 치과 에서는 어떻게 진행해드렸을까? 잇몸 통증 해결한 방법 알아봐요 1 2 3 … 7 Next BACK TO TOP
틀니 사용 중에 임플란트 하고 임시치아로 당일 식사 가능하게 하는 <꿀팁> 서정리역 치과 치아 결손, 치주 질환, 흔들리는 이, 임플란트 로 해결할 수 있을까? 세교동 치과 틀니와 임플란트로 송탄역 치과 에서 깔끔하게 구강 개선했던 케이스 오산세교 치과 에서 틀니 대신 임플란트 올온엑스(all on X)로 식사할 수 있게 되신 60대 환자의 이야기 ‘비용’ 때문에 치료를 망설이고 계시나요? 동탄동 치과 에서 평생 2개까지 가능한 보험 적용해 드립니다. 좌우 단 두 번만에 남촌동 치과 에서 어금니 임플란트로 저작 기능 모두 회복할 수 있습니다. 어금니 상실, 흔들리고 아픈 치아 오산 신장동 치과 에서 순서대로 임플란트 진행하여 전악 해결 케이스 치아 결손으로 고민하신다고요? 서정리역 치과 임플란트 식립 통해 편안한 어금니 만들어드린 증례 (+임시 치아 제작) 지치주위염 있던 사랑니 발치 동탄동 치과 에서는 어떻게 진행해드렸을까? 잇몸 통증 해결한 방법 알아봐요 1 2 3 … 7 Next BACK TO TOP
치아 결손, 치주 질환, 흔들리는 이, 임플란트 로 해결할 수 있을까? 세교동 치과 틀니와 임플란트로 송탄역 치과 에서 깔끔하게 구강 개선했던 케이스 오산세교 치과 에서 틀니 대신 임플란트 올온엑스(all on X)로 식사할 수 있게 되신 60대 환자의 이야기 ‘비용’ 때문에 치료를 망설이고 계시나요? 동탄동 치과 에서 평생 2개까지 가능한 보험 적용해 드립니다. 좌우 단 두 번만에 남촌동 치과 에서 어금니 임플란트로 저작 기능 모두 회복할 수 있습니다. 어금니 상실, 흔들리고 아픈 치아 오산 신장동 치과 에서 순서대로 임플란트 진행하여 전악 해결 케이스 치아 결손으로 고민하신다고요? 서정리역 치과 임플란트 식립 통해 편안한 어금니 만들어드린 증례 (+임시 치아 제작) 지치주위염 있던 사랑니 발치 동탄동 치과 에서는 어떻게 진행해드렸을까? 잇몸 통증 해결한 방법 알아봐요 1 2 3 … 7 Next BACK TO TOP
틀니와 임플란트로 송탄역 치과 에서 깔끔하게 구강 개선했던 케이스 오산세교 치과 에서 틀니 대신 임플란트 올온엑스(all on X)로 식사할 수 있게 되신 60대 환자의 이야기 ‘비용’ 때문에 치료를 망설이고 계시나요? 동탄동 치과 에서 평생 2개까지 가능한 보험 적용해 드립니다. 좌우 단 두 번만에 남촌동 치과 에서 어금니 임플란트로 저작 기능 모두 회복할 수 있습니다. 어금니 상실, 흔들리고 아픈 치아 오산 신장동 치과 에서 순서대로 임플란트 진행하여 전악 해결 케이스 치아 결손으로 고민하신다고요? 서정리역 치과 임플란트 식립 통해 편안한 어금니 만들어드린 증례 (+임시 치아 제작) 지치주위염 있던 사랑니 발치 동탄동 치과 에서는 어떻게 진행해드렸을까? 잇몸 통증 해결한 방법 알아봐요 1 2 3 … 7 Next BACK TO TOP
오산세교 치과 에서 틀니 대신 임플란트 올온엑스(all on X)로 식사할 수 있게 되신 60대 환자의 이야기 ‘비용’ 때문에 치료를 망설이고 계시나요? 동탄동 치과 에서 평생 2개까지 가능한 보험 적용해 드립니다. 좌우 단 두 번만에 남촌동 치과 에서 어금니 임플란트로 저작 기능 모두 회복할 수 있습니다. 어금니 상실, 흔들리고 아픈 치아 오산 신장동 치과 에서 순서대로 임플란트 진행하여 전악 해결 케이스 치아 결손으로 고민하신다고요? 서정리역 치과 임플란트 식립 통해 편안한 어금니 만들어드린 증례 (+임시 치아 제작) 지치주위염 있던 사랑니 발치 동탄동 치과 에서는 어떻게 진행해드렸을까? 잇몸 통증 해결한 방법 알아봐요 1 2 3 … 7 Next
‘비용’ 때문에 치료를 망설이고 계시나요? 동탄동 치과 에서 평생 2개까지 가능한 보험 적용해 드립니다. 좌우 단 두 번만에 남촌동 치과 에서 어금니 임플란트로 저작 기능 모두 회복할 수 있습니다. 어금니 상실, 흔들리고 아픈 치아 오산 신장동 치과 에서 순서대로 임플란트 진행하여 전악 해결 케이스 치아 결손으로 고민하신다고요? 서정리역 치과 임플란트 식립 통해 편안한 어금니 만들어드린 증례 (+임시 치아 제작) 지치주위염 있던 사랑니 발치 동탄동 치과 에서는 어떻게 진행해드렸을까? 잇몸 통증 해결한 방법 알아봐요 1 2 3 … 7 Next
좌우 단 두 번만에 남촌동 치과 에서 어금니 임플란트로 저작 기능 모두 회복할 수 있습니다. 어금니 상실, 흔들리고 아픈 치아 오산 신장동 치과 에서 순서대로 임플란트 진행하여 전악 해결 케이스 치아 결손으로 고민하신다고요? 서정리역 치과 임플란트 식립 통해 편안한 어금니 만들어드린 증례 (+임시 치아 제작) 지치주위염 있던 사랑니 발치 동탄동 치과 에서는 어떻게 진행해드렸을까? 잇몸 통증 해결한 방법 알아봐요 1 2 3 … 7 Next
어금니 상실, 흔들리고 아픈 치아 오산 신장동 치과 에서 순서대로 임플란트 진행하여 전악 해결 케이스 치아 결손으로 고민하신다고요? 서정리역 치과 임플란트 식립 통해 편안한 어금니 만들어드린 증례 (+임시 치아 제작) 지치주위염 있던 사랑니 발치 동탄동 치과 에서는 어떻게 진행해드렸을까? 잇몸 통증 해결한 방법 알아봐요 1 2 3 … 7 Next
치아 결손으로 고민하신다고요? 서정리역 치과 임플란트 식립 통해 편안한 어금니 만들어드린 증례 (+임시 치아 제작) 지치주위염 있던 사랑니 발치 동탄동 치과 에서는 어떻게 진행해드렸을까? 잇몸 통증 해결한 방법 알아봐요 1 2 3 … 7 Next