세교동 치과 : 치근 수평 파절 치아 발치 및 임플란트 식립 & 깨진 치아 온레이 (onlay)
안녕하세요,
세교동 치과 입니다.
치아는 우리 몸에서
가장 단단한 조직이나,
잘못된 습관이나 예상치 못한 사고로
금이 가거나 부러질 수 있습니다.
이때 파절의 깊이나 위치에 따라
치료 방법이 달라질 수 있습니다.
이번 글에서는 파절의 정도별로
가능한 치료 방법을 정리해 드리겠습니다.
구강 내 초진


저작 시 통증이 있을 때
이를 방치할 경우 더 큰 통증이나
치아 상실로 이어질 수 있으므로
조기 내원이 중요합니다.
구강 내 육안 검사만으로는
정확한 진단이 어려운 경우가 많으므로
엑스레이 촬영을 동반합니다.
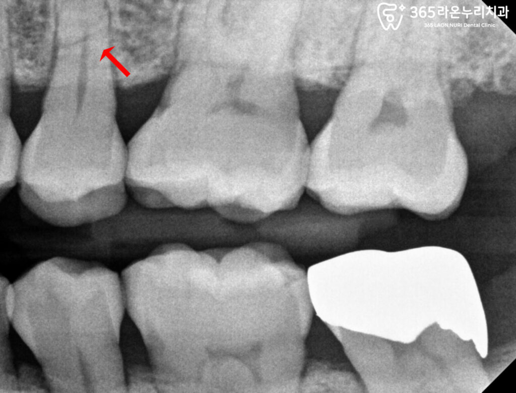
초진 엑스레이

촬영된 엑스레이를 보니
16번과 25번에 문제가 있는 것을
확인할 수 있습니다.
위 구강 내 사진을 보면 알 수 있듯
16번은 까맣게 우식이 관찰되며
25번은 치근이 파절된 것을 알 수 있습니다.
좀더 자세히 확인하기 위해
세교동 치과 에서 준비한
다른 엑스레이 사진을 보도록 하겠습니다.
교익 + 치근단 촬영으로 확인한 수평 파절


25번 치근 중간 부위에
뚜렷한 가로선의 파절선이 관찰됩니다.
파절된 위치와 정도에 따라
살릴 수도 있고 발치해야 될 수도 있습니다.
보존 가능성이 낮아
장기적 예후가 불량할 때는
발치를 선택하는 경우가 많습니다.
이에 따라 오늘 케이스도
발치 후 임플란트 식립을 선택했습니다.
25번 발치

부러진 25번을 뽑은 모습이며
발치할 때는 불필요한 골 손상을
최소화하는 것이 중요합니다.
인접치나 치주조직에
손상이 가지 않도록 주의해야 되며,
뿌리 조각이 잔존하지 않도록
깨끗이 모두 뽑아야 됩니다.
임플란트 픽스처 식립

뼈의 양과 질, 상악동의 위치를 확인한 후
계획한 직경과 길이의 픽스처를 심습니다.
픽스처와 뼈가 잘 붙어야
이후에 씌우는 보철을
오래 사용할 수 있습니다.
따라서 수술 후에는
일정한 치유 기간과 관리가 필요합니다.
상악은 보통 4-6개월,
하악은 2-4개월 정도의
회복 기간이 가집니다.
최종 보철 장착


치유와 완료되면 스캐너를 이용해
치아, 잇몸, 픽스처의 위치를
3차원으로 스캔합니다.
이는 맞춤형 보철을 더 빠르고
정확하게 제작할 수 있게 도와줍니다.

경계면에 미세한 틈이 있다면
2차 우식이나 임플란트 주위염이
일어날 위험이 증가하기 때문에
엑스레이를 통해 보철과
어버트먼트의 경계가 잘 맞는지,
미세한 틈이 없는지 확인합니다.
crack이 있던 16번 파절

큐레이로 확인한 16번의 모습이며
세교동 치과 가 체크한 곳을 보면
분홍색으로 crack이 선명하게 관찰됩니다.
이렇게 어금니에 crack이 있을 때
이 부위에 반복되는 교합력이 가해진다면
결국 파절로 이어질 수 있습니다.

이렇게 치아에 금이 있던 부위가 파절되면,
손상된 범위에 따라 온레이(onlay)
수복을 고려해 볼 수 있습니다.


치질이 충분히 남아있는지 확인한 후
교합을 분산시킬 수 있도록
수복물을 디자인합니다.
온레이는 접착성 수복물이므로,
변연 부위에 타액과 혈액이
유입되지 않도록 주의합니다.
변연이 미세하게 부적합하다면
2차 우식이 생길 위험이 있으므로,
스캐너를 이용해 정밀 인상과
가공하는 것이 좋습니다.

자연치의 색과 비슷하게 온레이가 수복되어
환자의 만족도를 높일 수 있게 되었습니다.
마진 부위를 매끄럽게 마무리해
변연 착색이나 2차 우식을 예방하며,
광택과 질감 또한
자연치와 유사하게 재현합니다.

앞서 세교동 치과 에서 보여드린
임플란트를 심었던 25번 부위입니다.
16번과 마찬가지로 자연치와
유사한 색의 크라운이 사용되었습니다.
이렇게 파절된 정도와 위치에 따라
치료 방법은 크게 달라집니다.
따라서 의료진의 진단을 통해
자신에게 맞는 치료 방법을
찾는 것이 중요합니다.
통증으로 인해 파절이 의심된다면
조기에 정확한 검진을 받아
알맞은 치료를 받아보시길 바랍니다.
지금까지 세교동 치과 였습니다.
감사합니다.

치료기간: 2025.04.03~2025.08.19
