치아 결손으로 고민하신다고요? 서정리역 치과 임플란트 식립 통해 편안한 어금니 만들어드린 증례 (+임시 치아 제작)
안녕하세요
서정리역 치과
365 라온누리의
박흥재 원장입니다!
「 매일 사용하는 치아,
그 소중함을 얼마나 느끼고 계신가요? 」
치아가 하나라도 결손되면
먹는 즐거움뿐만 아니라
발음, 얼굴 윤곽까지
영향을 줄 수 있다는 사실을
알고 계셨나요?
치아를 잃고 나서
일상 생활에서의 불편한 느낌과
이를 어떻게 대처해야 될지 막막한
기분은 누구나 겪을 수 있다는 생각을
늘 하고 있습니다.
그렇기 때문에 서정리역 치과 에서의
어떤 치료를 통해 다시 일상 속
자신감을 되찾게 해드리는지에
대한 이야기를 나눠보려 합니다.
▮ 1.진단 & 치료 계획
내원하시면 먼저 문진표를 작성하게 됩니다.
이를 통해 전신 병력이나
기타 특이사항을 체크할 수 있기 때문에,
꼭 꼼꼼하게 기입해주셔야 됩니다. ^^
*복용하는 약이 많으시다면
전체적인 치료를 조절하면서 무리하지 않는
선에서 진행해드리고 있습니다!*
그리고 나서, 실제 구강과
엑스레이 촬영을 통해
치아의 건강 상태를
확인하게 됩니다.

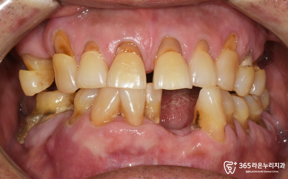
왼쪽 아래 앞니가 하나 결손되어 있는 것이
먼저 관찰되며, 다른 치아들도
흔들리고 상태가 좋지 않았습니다.

특히, 결손된 앞니 부위의
골도 심하게 내려가 있었습니다.

위턱 양쪽의 어금니가 모두 사라졌고,
오른쪽의 경우 작은 어금니 하나가
없는 모습입니다.
반대편에 있는 작은 어금니 하나도 심하게
파절되어, 코어 + 크라운을
진행해드리기로 결정했습니다.
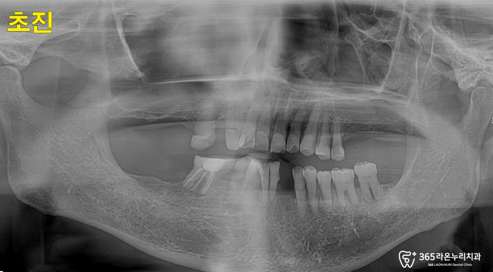
아래턱 역시도, 치조골이 많이
내려가게 되면서 치아 뿌리쪽이
많이 드러나고 있었습니다.

엑스레이를 보시면 전체적으로
치아 뿌리가 드러날 정도의
골소실이 일어나 있는 것을
더욱 명확하게 확인할 수 있었는데요.

보시는 것과 같이
잇몸뼈가 뿌리 끝까지 녹아
더이상 치아를 지지하지
못하고 흔들리고 있었는데요.
이처럼 전체적으로 치아의 상태가 좋지
않았던 곳들은 발치 후 임플란트 식립 및
뼈이식 치료를 진행하기로 결정하게 되었습니다.
치료 전, CT로 남아 있는 뼈의
상태 확인도 잊지 않았습니다.
▮ 2. 임플란트 수술 시작


우선 눈에 띄는 아래 앞니부위부터
임플란트 식립을 진행해드렸습니다.
계획된 위치에 잘 심은 모습이
관찰되고 있습니다.
그리고 나서, 앞니 임플란트와
잇몸뼈가 어느 정도 붙을 때까지
길게는 몇개월씩 기다려야 되기
때문에 그 부분을 대체할
임시 치아를 필요로 합니다.
그래서 서정리역 치과 에서는
발치한 자리에 틀니 같이 생긴
플리퍼(FIipper)를 제작해드렸습니다.

아래턱에 치료가 차례대로 진행되고 있는 모습이네요.

왼쪽 위턱의 뼈 양을 확인하고,
상악동 거상술로 임플란트 픽스처가
들어갈 공간 확보 및 뼈이식 과정을 함께
진행해드렸습니다!
임플란트 픽스처가 계획된
자리에 안정적으로 심어진 모습이
관찰되고 있습니다.
그리고 나서
2개월이 지난 이후 보철을 연결할 수 있도록
어버트먼트와 같이 임시 치아를
제작해드리기로 합니다.

오른쪽 위 아래 턱 동그라미 친 부위에
심으면서 뼈이식을 함께 진행하려는
계획에 대해, 환자께 자세히
설명을 드렸던 흔적입니다. ^^

그 사이, 왼쪽 위턱의 최종 크라운을
제작하기 위해 스캔본을 뜨고
정교하게 제작된 크라운을
올려 완성해드릴 수 있었습니다.
이어서 파절되어 있었던 왼쪽 작은 어금니
코어 및 크라운도 진행해드렸습니다.

그리고, 오른쪽을 보시면 흔들리던
어금니가 사라지고 임플란트
수술을 통해 새로운
픽스처가 자리를 잡았습니다.
픽스처가 흔들리지 않게,
뼈이식 과정을 통해
튼튼하게 고정될 수 있게끔
만들어드렸습니다.

그렇게 유착되기를 기다리면서
오른쪽 위 아래 모두 어버트먼트+임시 치아를
올려드린 모습입니다.
그이후, 아래턱에 최종 크라운을
올려 튼튼한 치아를 완성했습니다.

시간이 흘러, 오른쪽 위턱의 어금니부위도
잘 완성되어 최종 크라운까지 올려드릴 수 있었습니다. ^^
그렇게 서정리역 치과 에서
모든 치료를 마칠 수 있었습니다.
▮ 3.최종 보철 장착

최종 크라운들이
흔들리거나 위태로운 곳 없이
잘 제작되었습니다.
그렇다면, 서정리역 치과 에서
어떻게 완성되었는지
같이 살펴보도록 하겠습니다.

치아색과 유사하게 제작되어
어색하지 않고 편안한 인상을
자아내고 있습니다.

이전에는
결손치도 많으셨고
치아 상태가 좋지 않았기에
식사를 불편해하셨는데요.
이런 점을 고려하여
최대한 빠르게 식사를
하실 수 있도록 계획을
신속하게 진행해드렸던 기억이 납니다.
진료를 마치고 나니,
환자께서는 식사를
편안히 할 수 있다는 것에
만족스러워하셨습니다.
당시 연세도 있으셨고
복용하는 약물이 많으셔서
임플란트 수술을 받을 때도
불편하고 적응을 못하실 줄
알았다고 하셨습니다.
그러나, 서정리역 치과 에서
치료를 받고 나니 고민하고
걱정한 것에 비해
만족스러우셨다고. ^^
저희 서정리역 치과 에서는
무엇보다환자의 전신/구강 상태,
그리고 상황에 따라
적합한 치료 계획을 세워
신속하게 진료를
진행해드리고 있습니다.

그리고 정품 재료만
사용하여 부작용을
최소화하고 수술
성공률도 높이고 있습니다. ^^
언제나 환자를 먼저
생각하는, 진실된
서정리역 365 라온 누리 치과 였습니다.
오늘도 긴 글 읽어주셔서
감사합니다!

진료기간:2023.05.03~2024.05.24