좌우 단 두 번만에 남촌동 치과 에서 어금니 임플란트로 저작 기능 모두 회복할 수 있습니다.
반갑습니다,
남촌동 치과
365라온누리 박흥재 원장입니다.
여러분은 혹시
우리나라의 기대 수명이
몇 세인지 알고 계시나요?
2024 기준 현재 한국인의
기대수명은 어느덧 88세를 넘어섰다 합니다.
이전과 달리 의료기술이 점점 발전하면서
조금씩 늘어나고 있는 것이죠.
이렇게 오랫동안
잘 먹고 잘 살기 위해
구강건강은 반드시 잘 유지되어야 될
중요한 신체의 일부라 생각합니다.
그렇기에 지금 이 글을 읽고 계신 분 중에서
6개월 내 검진을 받은 기억이 없다면
가까운 시일 내 남촌동 치과 로 오시기 바랍니다.
본론으로 들어가
오늘은 제가 이전에 진료했던 환자들 중
양쪽 어금니 임플란트를 진행했던 사례를
한번 보도록 하겠습니다.
■ 1. 초진

전체적으로 치아가 아프고
이가 없는 부위가 있어
임플란트 상담을 원한다 하셨습니다.
남촌동 치과 에서
구강을 살펴보면
왼쪽 아래 결손치를 포함하여
충치가 생기거나 치아와 잇몸의 경계부가
심하게 닳아있는 이가 여러 개 보였습니다.
■ 2. 엑스레이 진단
남촌동 치과 에서는
전반적인 상황을 알기 위하여
파노라마 엑스레이를 찍어보았는데요,
보이는 것처럼 이가 없는 곳은
텅 비어있는 게 보이고
치조골의 높이도 낮아진 부위가 있습니다.

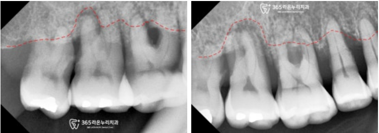
파노라마보다 조금 더 가까이서
높은 해상도로 볼 수 있는
치근단 사진을 찍어보니
오른쪽 위 내려간 잇몸뼈의 높이가
더욱 확실히 보이네요.

비어있는 오른쪽 아래 구치부도
마찬가지로 살펴보았는데요,
맨 뒤에 임플란트를 심어둔 곳에
염증이 생겨 주변으로 뼈가 녹아있습니다.

왼쪽 위아래도
전반적으로 뿌리 끝 염증이 심하시고
뼈가 많이 내려가신 상태로 판단됩니다.
이렇게 치아를 잡아주는
치주조직이 좋지 못하니
당연히 이가 흔들리고
저작하기에 힘든 부분이 있으셨겠네요.
■ 3. 식립계획

남촌동 치과 에서는
엑스레이의 정보를 토대로
임플란트 식립 계획을 세웁니다.
환자의 비용적인 측면을 고려하여
상하좌우 각 2개의 픽스처를 심기로 하였으며
(오른쪽 아래 기존 픽스처는 주위염이 생겨
제거 후 다시 심기로 했습니다.)
그 사이에 ponic이라는
인공치를 넣어 저작력을 나눠가질 수 있도록
계획을 짰습니다.

안전한 위치에 잘 심을 수 있도록
CT를 찍어 그 깊이를 확인해 보니
어느 정도 높이는 확보가 되나
일부 뼈가 부족한 곳은
골이식을 추가로 시행하기로 했습니다.
■ 4. 임플란트 수술 과정
남촌동 치과 에서는
여러 개의 임플란트 회사를 이용하고 있는데요

이 케이스에서는
덴티움사의 정품 픽스처를 사용했습니다.
이렇게 수술 후 꼼꼼히 기록도 남겨두고 있으니
언제든 저희 의료진을 믿고
궁금하신 점이 있다면 편히 문의주셔도 됩니다.^^
이 환자께서는
음식을 먹는데 불편함이 크셨기 때문에
저작 문제에 대한 걱정이 많으셨습니다.
그래서 오른쪽을 먼저 진행하고
한쪽으로 식사가 먼저 가능해지시면
왼쪽 진행을 원하셨기에
순차적으로 일정에 맞추어 진료해 드렸습니다.


오른쪽 위아래 먼저 진행되고 있는 모습이며

이 과정에서
저희 남촌동 치과 의 강점인
임시치아를 제작해 드리기 위하여
디자인하고 있는 모습입니다.
이렇게 임시치아를 통해
빠르게 저작기능 회복이 가능합니다.

이렇게 어느 정도 고정력을 얻은
픽스처 위로 임시치아를 연결하게 되는데
이때 불편감이 있거나
걸리는 부분이 있다면
미리 보완할 수 있기에
최종 보철 장착 시,
더욱 안정적이고 편안하게
잘 만들어드릴 수 있겠죠?

왼쪽도 위아래 발치 후
임플란트를 심은 모습이며

어느 정도 회복을 기다렸다가

임시치아를 잘 연결해 드렸습니다.
조금 천천히 진행된 감이 있으나
환자께서는 이물감 없이 편하게
치료받는다는 점에서 충분히 만족하셨답니다.
■ 5. 최종 보철물 제작 및 체결
치료가 마무리된 모습을 보겠습니다.

픽스처 식립 개수는 최소로 하면서
구치부 기능은 모두 회복되었습니다.

또한 임시치아를 사용하며
적응할 시간도 충분히 가지셨기에
최종 보철이 올라갔음에도
여전히 편안하게 받아들이셨답니다.

최근에 정기검진을 오셔서
엑스레이를 찍어 살펴보니
관리도 잘되고 있으셨습니다.
환자께서도 불편감 없이 잘 사용 중이라며
너무나 감사하다 말씀해 주셨는데요,
아무리 괜찮아도 남촌동 치과 로
검진은 꾸준히 잘 와주시길 바랍니다.
정기검진은 임플란트 치료를 떠나
구강건강 유지를 위해서도
무엇보다 열심히 시행해야 됩니다.
맛있는 음식 잘 먹고
환한 미소 지으실 수 있도록
저희 365라온누리 에서는
앞으로도 최선을 다하겠습니다.
읽어주셔서 감사합니다.
남촌동 치과 박흥재 원장이었습니다.

치료 기간 : 2023.02.15 ~ 2024.09.15
