오산대역 치과 치료부위에 생긴 2차우식, 신경치료 후 오버레이(overlay)를 통한 치료 과정
안녕하세요.
오산대역 치과 박흥재 원장입니다.
치료를 받은 치아는
다시 문제가 생길 수 있습니다.
레진 또는 인레이를 때운 곳 주변으로
문제가 일어날 수 있습니다.
더불어, 치아 전체를 씌운 크라운에서도
일어날 수 있는데요.
이차우식이 발생되는 이유는
시간이 흐르면서 보철과 자연치 사이에
틈이 생길 수 있고 그 사이로
세균이 침투하면서 시작됩니다.
틈이 생기는 원인은 접착제가
서서히 녹을 수 있거나
자연치 자체가 깨지거나
마모되는 경우가 있습니다.
진료 후 해당 부위로 끈적이거나
딱딱하고 질긴 음식을 먹게 되면
시간이 흐름에 따라 보철이 떨어지거나
깨지는 경우가 있습니다.
이런 경우 충치가 깊이 침투한 경우가
많아 신경치료를 하게 됩니다.
흔히 신경 치료라 부르는 처치는
엄밀히 말해 신경을 치료하는 것은 아닙니다.

인체에서 제일 단단한 조직인 치아는
겉모습과 달리 그 내부에 “치수”라고 부르는,
신경과 혈관이 풍부한 연조직이 있는데요,
치수는 이뿌리, 즉 치근의 끝까지 뻗어 있으며,
뿌리 끝의 좁은 구멍(치근단공)을 통해
그 주변을 둘러싸고 있는 잇몸 뼈(치조골)속
치주인대와 연결되어 있습니다.
충치나 어떤 자극에 이가 아프다고 느끼는 것은
바로 자극으로부터 이를 보호하도록
치수가 반응하여 나타내는 증상이랍니다.
오늘은 이와 관련된 내용으로
오산대역 치과 에서 설명해 드리도록
하겠습니다.
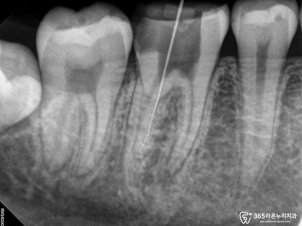
우선 오산대역 치과 에서
x-ray 사진을 보도록 하겠습니다.

인접면 충치가 엑스레이에서도
크게 보이고,

문제가 있는 곳을
자세히 확인해 보면

우식증으로 인해
하방으로2차 우식이 생겨
내부 조직이 충치균에 감염되었고,
이로 인한 통증이 나타나보입니다.
단순히 기존 버찰을 제거하고
인레이나 크라운을 했다가는
차갑거나 뜨거운 자극을 차단하지 못하여
통증이 그대로 지속될 것이고,
이는 이미 균에 감염되어있는 상태라
불편 증상은 계속 남아있을 것입니다.
그럼 같은 이를 두번 치료를 하게 되어
이는 장기적으로 보았을때
수명에도 좋지 않습니다.
「 endo(=신경치료) 시작 」

치근에 엔도용 파일을 넣어
뿌리의 모양과 위치를 확인하는 과정을 가집니다.
뜨겁고 시린
통증을 느낀 것을 보아
감염이 심했을 것으로 예상되었기 때문에
약 3~4회에 걸친
내부 세척과 소독을 통해
수복까지 잘 마무리했습니다.

오산대역 치과 에서 사진에서 보면 뿌리 끝까지
잘 밀봉되어있는 것을 확인 할 수 있습니다.
치아의 손상 정도나 치아배열, 교합력등
다각도로 고려했을 때 오버레이(Overlay)가
가장 적합하다고 진단 내렸습니다.
오버레이(Overlay)는 치아의 모든 면을
삭제하는 크라운과 다릅니다.
『 오버레이(Overlay)는
씹는면(교합면)을 적절하게 삭제하고
도자기 재료를 치아에 접착해 주는 방법 』

치료할 범위가 작다 → 인레이
치료할 범위가 좀 더 크다 → 온레이
치료할 범위가 치아의 씹는면을 덮는다 → 오버레이

오산대역 치과 에서 인상채득을 후 사진을 보면
짧은 치아로 인한 보철 제작으로 어려움이 있는
이맥스 프레싱 오버레이로 제작하여 기존보철만큼
튼튼하게 제작하고 접착하여 안정성을 많이 높여줍니다.
손이 많이 가는 진료임은 분명하나
환자분의 치아를 오랫동안 보존할 수 있어
좋은 진료이니 원칙을 지켜 치료해야 됩니다.

오버레이를 접착한 모습입니다.
꼭 크라운처럼 보이네요. 감쪽같습니다.
신경치료를 진행했다면
이미 치아 자체의 감각을 느끼는
치수는 제거된 상태라
더이상 통증은 없으시겠지만
치아가 약해져 있고,
보철을 씌웠기 때문에
또 위와 같은 이차 우식이 발생할 수 있어
정기검진과 위생관리는 필수입니다.
그러니 꼭 주기적으로 검진을 받아
내 자연치아 오래 보존하셨으면 좋겠습니다.
긴 글 읽어주셔서 감사합니다.
오산대역 치과 였습니다.

치료기간 : 2025.6.1 ~ 2025.6.29