서정리역 치과 심한 골소실로 인한 뼈이식 임플란트 치료 과정 및 정기검진을 받아야 되는 이유
안녕하세요.
서정리역 치과 박흥재 원장입니다.
『 음식을 먹다가 갑자기
이가 시큰하고 통증이
느껴진 경험이 누구나 있습니다. 』
병원에 가기 귀찮거나 무섭기도 하고,
괜찮아지겠지 하면서 그대로 놔두는 경우가 많은데,
충치나 치주 질환은
초기에 그 증상이 명확하게
나타나지는 않습니다.
단계별로 증상이 악화되는 것이기 때문에
나중에 이 시림이나 통증이 나타나기 시작하면
그때는 늦은 것일 수 있습니다.
레진 같은 재료로 간단하게 때울 수 있는 충치나
스케일링으로 예방할 수 있는 치주 질환을
그대로 방치하면
나중에는 훨씬 고통스럽고
비용도 많이 들 수 있습니다.
그래서 일찍부터 치료하고
문제가 생기는 것을 막기 위해
구강검진을 꾸준히 하는 것이 중요합니다.
서정리역 치과 에서
사진 보면서 자세한 설명 드리겠습니다.

서정리역 치과 에서
구내 사진을 확인해 보면
발치한 자리 뿐만 아니라
전체적으로 구강 상태가 좋지 못해 보입니다.

파노라마 엑스레이에서도
치조골이 많이 파괴된 양상이며
특히 표시 된 치아는
광범위한 골소실로
엑스레이에서도
뼈가 많이 녹아있는 모습을
확인할 수 있습니다.
손으라 조금 건드려 봐도
심하게 흔들리는 정도였고,
예후가 불량해 보여
먼저 치료가 필요해 보였고
발치 후 임플란트를 계획하게 됩니다.
『 뼈이식 임플란트 과정 』
서정리역 치과 에서
CT를 활용하여 나머지 잔존골과
상태를 확인했을 때

치조골의 상태가 좋지 않아
먼저 치조골 이식이 필요해 보입니다.
뼈이식은 결손 된 치조골 부위에
뼈이식재를 보충해 재생시키는 과정입니다.

뼈이식 후 바로 식립을 진행 후,
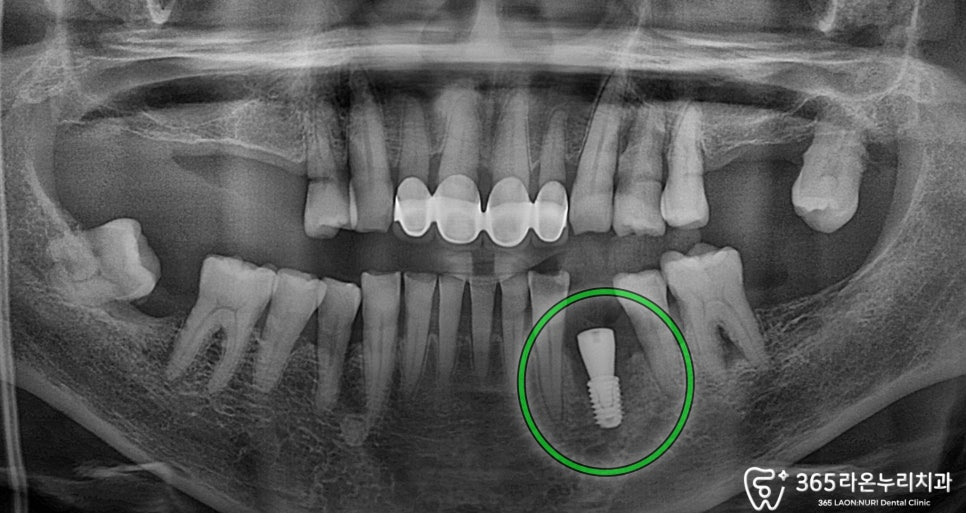
서정리역 치과 에서
파노라마 엑스레이를 보면
정확한 위치에 식립한 모습을 볼 수 있습니다.

골유착 하는 동안 나머지 치아는
잇몸치료 및 치주관리를 하면서
식립 한 부위를 체크 합니다.

그리고 구강스캔을 통해
먼저 맞춤형 어버트먼트를
제작하여 체결해 줍니다.
그리고 그 위로
먼저 임시치아를 제작하여
치아 형태 및 교합을 미리 설정을해주고
최종보철물인 지르코니아를 디자인 해주게 됩니다.

환자 마모되어있는 교합면과
비슷하게 설정한 모습은
교합운동을 진행하게 될 때
불편한 부분이 없게 해줍니다.

저작 활동을 많이 하며,
저작력을 많이 받는
어금니였기에 교합 체크 후
조금 더 튼튼히, 오래 사용할 수 있는
지르코니아 크라운을 씌워드리며,
치료를 마무리 하게됩니다.
치아를 잃으면 저작 기능만 불가능해지는 것이
아니라 구강 속에서도 제 기능을
못해 치조골이 흡수되면서
서정리역 치과 에서 보여드린
위 문제가 발생 할 수 있습니다.
따라서 빠르게 인공치아를 대체하는 것이 좋은데
그 중에서도 임플란트는 잇몸뼈에
식립을 함으로써 단단하게
고정 유지를 할 수 있다는 특징이 있습니다.
내 소중한 자연치를 오랫동안 보존하려면
6개월에 한 번씩은
검진을 하는 습관을 갖는 게 좋으며,
임플란트는 더 이상 감각을 느끼는 신경이 없기 때문에
주위염이 생기지 않도록
잇몸 관리를 더욱 신경 써줘야 된다는 점도 기억해 주세요.
꾸준한 사후관리가 더 중요하다는 점
절대 잊지 마세요.
긴 글 읽어주셔서 감사합니다.
서정리역 치과 였습니다.

치료기간 : 2025. 07. 12 ~ 2025. 07. 19