오산대역 치과 앞니가 외상으로 깨졌을 때 전치부 신경치료를 통한 개선 과정
안녕하세요.
오산대역 치과 박흥재 대표원장입니다.
앞니가 깨질 경우
심미적으로 큰 문제가 생깁니다.
외부 활동을 많이 하는 분들께서는
보여지는 이미지에 타격을 받아
신경 쓰이게 되는데요.
가지런하고 깨끗한 치아는 인상까지
밝고 깨끗하게 만들어줍니다.
이에 치아가 변색되거나 치열이 바르지 않은 경우,
심미적 개선을 위한 진료를 진행하기도 해야 됩니다.
또한, 치아는 심미적인 부분뿐만 아니라
기능적으로도 많은 역할을 합니다.
저작 기능과 정확한 발음 구사 등의 역할을
하는 부위로, 기능적으로 문제가 발생했다면
적절한 치료로 치아 건강을
유지하는 것이 중요합니다.
오늘 오산대역 치과 에
외상으로 앞니가 깨져 근관치료
과정을 같이보겠습니다.
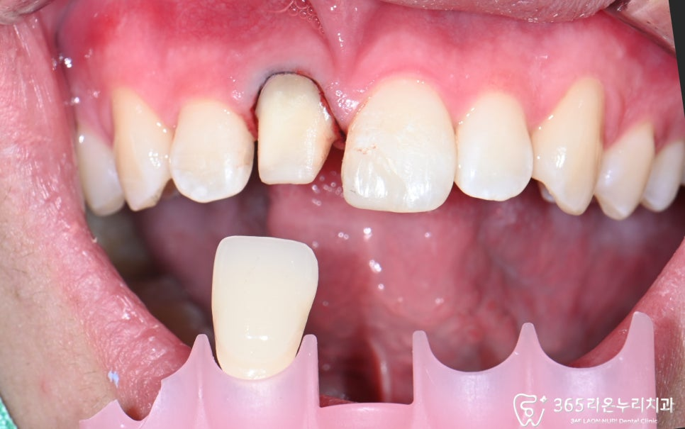
외상으로 깨진 앞니 모습을
구내 사진을 통해
확인해 보면,

2025.06.06
가운데 대문니
두개가 깨진 모습을
볼 수 있습니다.
오산대역 치과 에서
노란색으로 표시한 치아는
작게 깨졌지만
초록색으로 표시된 부분을 보면
많이 깨진 모습을 확인할 수 있습니다.

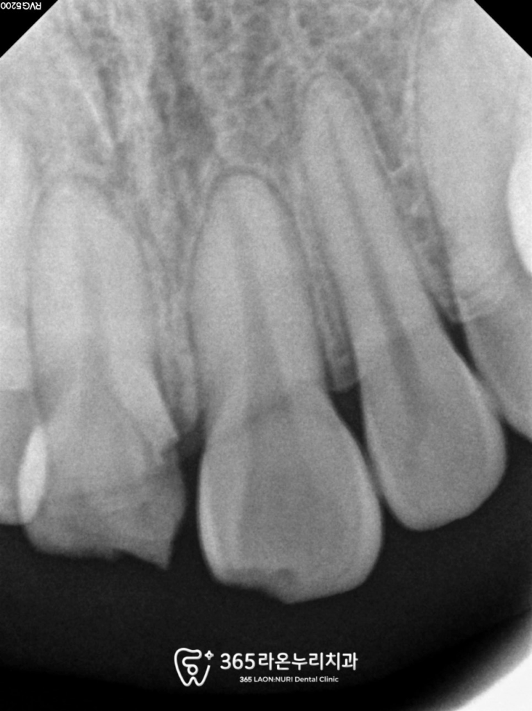
2025.06.06
신경에 문제가 있나
오산대역 치과 에서
치근단 사진을 확인해 보았습니다.
다행히 치근(이의 뿌리)에는 파손이 없었으나,
치관 표면에서 신경이 드러난 상태였습니다.
이는 통증과 감염의 위험을 유발할 수 있어
이런 경우 빠른 처치가 필요합니다.
▮ 이가 깨졌을 때 할 수 있는 조치
이가 깨졌을 때는 파손 정도와
치수가 드러났냐에 따라 오산대역 치과 에서는
몇 가지 회복 방법이 있습니다.
만약 드러나지 않았다면
간단한 레진이나 라미네이트로
복구할 수 도 있습니다.
그러나 이번 오산대역 치과 에서 보여드린
사진 처럼 치수가 표출된 경우에는 신경치료 후
크라운을 씌우는 것이 일반적입니다.
크라운을 사용하면 강도와
심미의 회복이 가능하고
삭제된 이의 구조도 안정되게
복구할 수 있기 때문입니다.
▮ 계획 및 과정
신경치료와 크라운
앞서 말씀드린 대로 앞니 하나는 작게,
하나는 치수가 드러나 있었습니다.
따라서 하나는 레진 치료를
하나는 근관 치료를 진행해야 됩니다.

2025.06.06
먼저 작게 깨진 부위를
자연스럽게 레진 수복한 모습입니다.
그 후,
신경치료(근관 제거술)
우선, 이 단계에서는 꼼꼼하게
진행하는 것이 중요했습니다.

2025. 06.16
감염 부위를 철저히 없애고,
치수강(치아의 내부 구조)을
깨끗하게 청소했습니다.
이는 추가 감염을 예방할 수 있는
필수 과정이므로 남김없이
깔끔히 제거되어야 됩니다.
색상(쉐이드) 확인
최종 보철물이
인접치와 자연스럽게 어우러질 수 있도록
쉐이드(색) 확인 과정도
꼼꼼히 진행해야 됩니다.

2025. 06.16
최종 보철 장착
마지막 단계로, 미리 확인한 쉐이드대로
인접치의 색에 맞춘 최종 크라운을
장착하면 마무리가 됩니다.

2025. 06.23
근관제거술이 완료된 곳은
신경이 없어 통증도 없을 수 있으나
구조는 약한 상태이기 때문에
몇 가지 조심해야 될 사항이 존재합니다.
✅ 이로 물체를 물어뜯거나 과한 힘 피하기
✅ 구강 위생 관리 철저히 지키기
✅ 꾸준한 정기검진으로 상태 점검하기
혹시나 이후 추가 문제가 생겼다면
그때는 발치를 해야 될 가능성이 크기
때문에 꼭 위와 같은 사항 지키셔서 건강하고
오래 크라운을 간직하셨으면 좋겠습니다.
긴 글 읽어주셔서 감사합니다.
오산대역 치과 였습니다.

치료기간 : 2025.06.06 ~ 2025. 06.23