오산대역 치과 정기검진으로 예방하는 충치, 놓치면 뼈이식 동반 임플란트까지?
안녕하세요, 오산대역 치과
박흥재입니다.
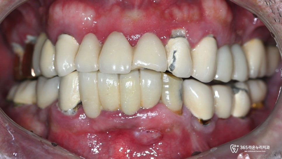
구강 내 통증과 치아 동요가 발생했을 때는
반드시 정기적인 치과 검진을 통해
정확한 진단을 받아야 됩니다.

특히 이미 임플란트나 보철치료 등
다양한 치료 이력이 있는
60대 이상 고령 환자분들의 경우,
정기검진의 중요성은 더욱 강조됩니다.
이는 치근우식, 이차우식, 치근단 병소와 같은
복합적인 구강 질환들이 기존 치료 부위와 상호작용하며
더 복잡한 양상으로 진행될 수 있기 때문입니다.
▮ 치근우식, 이차우식, 그리고 치근단 병소?
오산대역 치과 에서 잠시
치근우식, 이차우식, 그리고 치근단 병소에 대해
간략하게 설명드리겠습니다.

치근우식은 치아의 뿌리 부분,
즉 치근에서 발생하는 충치를 의미합니다.
치근은 법랑질이 거의 없고
상아질과 시멘트질로 이루어져 있어
산에 의한 탈회가
법랑질보다 훨씬 쉽게 일어납니다.

2025.1.31
특히 잇몸이 내려가 치근이 노출된
중장년층에서 흔하게 발생하며,
타액 분비 감소, 구강건조증,
불충분한 구강 위생 등이 주요 원인입니다.
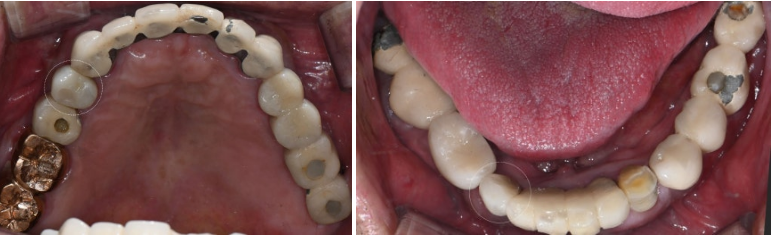
이차우식은
기존의 수복물(충전재, 인레이, 크라운 등)
주변에서 다시 발생하는 충치입니다.

2025.1.31
수복물과 치아 사이의 미세한 틈이나
변연 부위에 음식물 찌꺼기가 끼고,
이곳에서 세균이 번식해
우식이 재발하는 경우가 많습니다.
이차우식은 수복물의 변색과 구분이
모호할 수 있어 진단이 어렵고,
수복물 주변 치질이 상대적으로 약해
우식 발생 위험이 높습니다.
따라서 수복물 주변의 관리와
정기적인 검진이 중요합니다.

2025.1.31
마지막으로
치근단 병소(Periapical lesion)는
치아 뿌리 끝(치근단) 주변에 생기는
염증성 병변을 말합니다.

주로 치수(신경) 감염이 근관을 통해
뿌리 끝까지 진행되면서 발생하며,
염증이 치조골로 확산되어 뼈가 소실됩니다.
치근단 병소는 급성과 만성
모두로 나타날 수 있으며,
급성의 경우 심한 통증과 고름이 동반될 수 있습니다.
「 이러한 병변들이 광범위하게 진행되어
치아의 보존이 불가능한 경우,
발치가 불가피한 선택이 됩니다. 」

출처 : https://pmc.ncbi.nlm.nih.gov/
→ 한 연구에 따르면,
발치 후 치아 발치 후 처음 3개월 동안
영향을 받은 경조직과 연조직의
약 3분의 2가 어느 정도 흡수됩니다.
이러한 변화는 향후 임플란트 치료에
상당한 제약을 가할 수 있습니다.
치조골의 흡수는
임플란트의 안정적인 식립을 어렵게 만들며,
특히 전치부의 경우
심미적인 결과에도 악영향을 미칠 수 있습니다.
따라서 발치와 보존술 또는 뼈이식술을 통해
치조골의 흡수를 최소화하고,
향후 임플란트 치료를 위한 적절한 골량을
확보하는 것이 중요합니다.

@NSOralSurgery
뼈이식은 부족한 골량을 보충하기 위해
다양한 이식재를 사용하여 시행됩니다.
(자가골, 동종골, 이종골 등)

2025.4.2
이식된 뼈가 기존 골조직과 융합되어
안정적인 골조직을 형성하는 데는
일정기간 치유 기간이 필요합니다.

2025.4.2
이 기간 동안 이식재 주변으로
새로운 혈관이 형성되고, 골모세포의 활동이 증가하여
점진적으로 성숙한 골조직으로 대체됩니다.
치유 기간은 이식 부위의 크기,
사용된 이식재의 종류, 환자의 전신 건강 상태,
구강 위생 관리 상태 등에 따라 달라질 수 있습니다.

또한 임플란트 식립 후
골유착이 일어나는 로딩 기간 동안에는
임플란트 주변 조직의 건강한 치유를 위해
잇몸 치료를 병행하는 것이 중요합니다.
이 시기에는 임플란트 주변의 염증을 예방하고,
기존 자연치의 치주 건강을 유지하여
전체적인 구강 환경을 개선해야 됩니다.
정기적인 구강 위생 관리와 전문가 치료를 통해
임플란트의 성공적인 골유착을 도모할 수 있습니다.

특히 흡연은 임플란트의 치유 과정에
심각한 악영향을 미치는 요소입니다.
니코틴은 혈관 수축을 일으켜
임플란트 부위의 혈액 공급을 감소시키고,
골유착 과정을 지연시킵니다.
또한 면역 기능을 저하시켜
감염의 위험을 증가시키고,
연조직의 치유도 방해합니다.
따라서 저희 오산대역 치과 에서는
임플란트 치료 기간 중에는
반드시 금연을 권장드리며,
가능하다면 수술 전후로 충분한 기간 동안
금연을 유지하는 것이 좋습니다.

2025.4.16
골유착이 완료되면 임시 치아를 통해
연조직의 형태를 조정하고
환자의 기능적, 심미적 요구사항을 확인합니다.

2025.6.8
임시 치아 기간을 통해 적절한 치은 형태가 형성되면,
최종 보철물을 제작하게 됩니다.

2025.6.16
현재 가장 널리 사용되는 지르코니아 보철물은
뛰어난 강도와 생체 적합성,
그리고 자연치와 유사한 심미성을 제공합니다.

2025.6.16
이러한 일련의 과정을 통해
치근우식, 이차우식, 치근단 병소로 인해
상실된 치아를 성공적으로 대체할 수 있으며,
자연치와 유사한 기능과 심미성을 회복할 수 있습니다.

오산대역 치과 : 2025.1.31 ~ 2025.6.16
오산대역 치과 에서 준비한 구강 관련 정보는
여기까지 입니다 감사합니다.^^