송탄역 치과 심한 치주염으로 아래 앞니 흔들림, 임플란트 수술 통해 심미적인 치료 과정
안녕하세요.
송탄역 치과 입니다.
『 치주질환은 어떻게 나타나는 것일까요? 』
아파지는 이유를 이해하려면,
염증이 일어나는 과정을
간단히 확인할 필요성이 있습니다.
음식 찌꺼기가 사라지지 않은
상태로 오랜 시간 그대로 두면
치석이 생성되는데, 치석은
치주질환을 유발하게 됩니다.
이런 증상을 치주염이라 합니다.
처음엔 치은이 붓는 느낌이
있다가 사라지거나,
아픔이 거의 없습니다.
그런데 이 상태에서
잇몸 염증이 심하면
점차 치조골이 녹아내리게 됩니다.
그렇게 치조골이
흡수되면서 악화
속도는 더욱 빨라집니다.
치조골이 어느 정도
흡수되고 나면 그때부터는
치아가 흔들립니다.
이때, 통증 이 심할 정도로
이가 흔들린다면
발치를 하게 되는
상황에 이르게 됩니다.
오늘, 송탄역 치과 에서
이와 관련된 치주질환에 대해
소개해 드리려 합니다.

2025.2.15
검진 결과
아래쪽 앞니 뿌리 주변으로
염증이 나타난 것을
확인할 수 있었습니다.
그로 인해 치조골이 녹아서
내려가 있는 모습을 확인 할 수 있습니다.
이렇게 크게 진행되기 전에는
보통 아픔이 심하지 않기에
인지하지 못하다가, 치아가
흔들리는 시점이 되어서야
병원 내원하는 경우가 많습니다.
이처럼 치아 뿌리 까지
병소가 이환되었다면,
발치를 진행해야 됩니다.
송탄역 치과 에서
구내 사진도 함께 보겠습니다.

2025.2.15
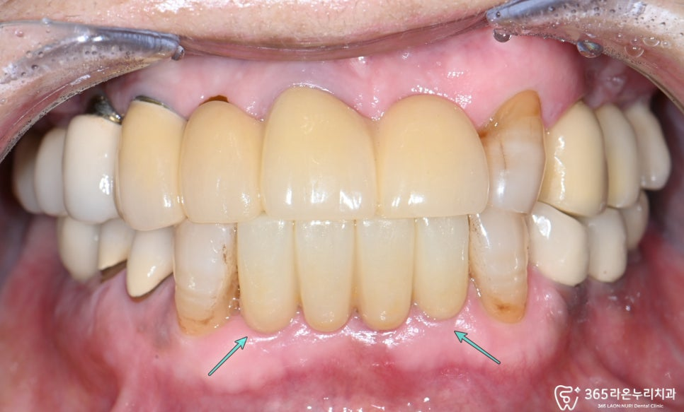
아래 전치부를 보면
잇몸이 꽤 부어있는 것을 볼 수 있죠?
송탄역 치과 에서
겉으로 봤을 때,
잇몸 염증이 꽤 크다는
판단이 들었습니다.

2025.2.15
CT를 찍어 살펴보면
치조골이 두께가 얇아져 있어
아슬아슬하게 치아 뿌리를
잡고 있는 모습을 확인할 수 있었습니다.
▮ 계획 수립
위 사진을 보고 진단을 해본 결과
진행한 과정을 보면,
앞니 부분은 뼈가 많이 얇습니다.
때문에 픽스처 하나를 심는데
정말 꼼꼼히 따져봐야 됩니다.
너무 얇아서 미끌리진 않을지
골밀도 또는 두께, 위치 등
사소한 차이가 이후에
환자분께서 편안함을 느끼는
큰 차이를 만들어냅니다.
「 치료 시작 」
수립된 계획에 맞춰 32, 42 앞니 발치 후
픽스처 식립 및 골유착이 이뤄나도록
Healing Abutment로 덮어줍니다.

2025.4.23
뼈와 잘 붙은 것을
확인했을 때,

2025.5.30
맞춤형 어버트먼트를
제작하게 됩니다.

2025.5.30
그리고 심미적으로 중요한 부위이기 떄문에
임시치아를 먼저 수복하여
최종 보철 형태 및 교합을 확인해 줍니다.
그 후 지르코니아 크라운을 제작하면서
마무리를 하게 됩니다.

2025.6.12
보철을 자연 치아와
큰 차이가 없도록
꼼꼼히 제작하여 씌워야 됩니다.
크라운은 자연치처럼
심미적인 형태로 제작되어,
앞 역할을 톡톡히
해내고 있습니다.
끝으로 임플란트 보철은
신경 조직이 없기 때문에
꾸준한 관리를 받지 않으면,
오래 사용하기 어렵습니다.
송탄역 치과 에서
오늘 보여드린 사례를 보더라도
환자분께서 염증이 커지기 전까지
전혀 모르고 있었습니다.
그렇기에 식립 후 초기에는
3~6개월에 한 번씩 정기검진을 받으며,
이후에 심은 지 꽤 되었다면
1년에 한 번씩은 체크해 볼 것을
추천 드리고 있습니다.
하나를 심는 것만으로도
수개월이 걸립니다.
많은 비용 및 시간을 사용하여
어렵게 잘 심은 것을
오래 사용할 수 있도록
관리 잘하셨으면 합니다.
감사합니다.
송탄역 치과 였습니다.

치료기간 : 2025.2.15 ~ 2025.6.12