원인 모르는 통증 의심해 봐야 되는 이유 오산역 치과 치근 파절 된 치아 발치 및 임플란트
안녕하세요.
오산역 치과 박흥재 대표원장입니다.
원인모를 통증이 있다면
많은 분들이 먼저 충치(우식증)을
의심해 보곤 합니다.
하지만, 다양한 증상들 속에는
분명히 충치 말고도 다른 이유가 있을 수 있습니다.
그 이유는 직접 전문 의료진에게
꼼꼼하게 진단을 받아 최대한
빠르게 개선하는 것이
제일 바람직 하다고
항상 말씀드리고 있습니다.
만약 통증이 있고,
그 증상이 심해졌다면
1) 치아 뿌리가 파절이 되었다.
2) 치아를 감싸고 있는 뼈가 많이 녹았다.
3) 이가 많이 흔들린다.
4) 신경치료를 했음에도, 예후가 좋지 않다.
뿐만 아니라
크게 충치도 있을 것이고
많은 증상들이 있고,
크게 4부류로 나눠봤습니다.
이런 상황을 겪고 있을 때는
크게 임플란트로 대체를 할 수 있습니다.
다만, 각 치료들은 적용을 할 수 있는 상황이
서로 조금씩다릅니다.
오산역 치과 에서
관련된 내용으로
설명 이어가겠습니다.

2025.6.1
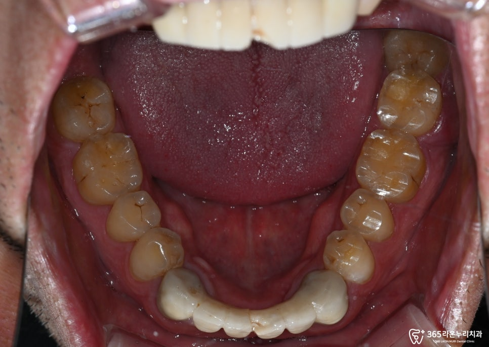
먼저 구내 사진을 보겠습니다.
오산역 치과 에서
구내사진을 보면
육안으로 파절부위는
보이지 않았습니다.

2025.6.1

2025.6.1
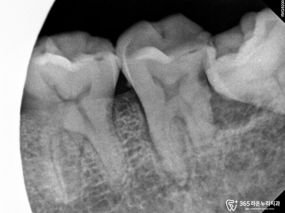
큐레이와, 치근단 사진을 함께보면
주위로 골파괴 현상도 같이 관찰이 됩니다.
손으로 살짝 건들여도, 동요도가 있는 상태였기에
문제가 있었습니다.
만약 위와 같은 문제를
방치하게 된다면
더욱 심한 골소실이 일어나면서
나중에는 임플란트 식립도 힘들어 질 수 있습니다.

2025.6.1
발치를 결정했다면
CT를 찍어 신경관과 관계를 봐야됩니다.
하악 어금니 아래쪽에는
하치조신경이 지나고 있어
더욱 신중한 발치 과정이
필요합니다.

2025.6.1
또 CT를 자세히 보면
47번 치아의 치근파절이 된 모습을
살펴볼 수 있었습니다.

2025.6.1
그리고 발치 후 임플란트 식립을 위해
식립 전 CT도 찍어 골 두께와 깊이
그리고 식립 위치를 미리 파악해 줍니다.
그리고 발치 과정을 가지고,

2025.6.1
식립을 해주면서 마무리 하면 됩니다.

2025.6.1
식립 후 촬영한 파노라마를 오산역 치과 에서
보면 미리 모의 식립을 진행한 덕분에
별 다른 문제 없이 안정적으로
식립에 성공한 모습을 볼 수 있었습니다.
여기서 바로 크라운 수복을 진행하지 않고
픽스처와 골이 온전히 유착될 수 있도록
기다리는 시간을 가지게 되는데요.
잇몸건강상태 까지 고려하여
최종보철 수복을 진행하게 됩니다.
이 전에 임시치아를
먼저 사용해보면서
불편감이나 걸리는 부분이 있다면
미리 보완하게 됩니다.
충치때문만 아니라
겉으로 들어나지어나지 않는
문제들이 많습니다.
구강 관리 능력이 미흡했었기 때문에
주기적으로 방문하여 상태를 점검받고,
오산역 치과 에서는
전문가 관리를 병행하여 청결함을
유지할 수 있도록 당부드립니다.
여러분도 미리 구강 관리 열심히 하셔서
자연치뿐만 아니라 보철 수명을 늘리고,
건강함을 오래 유지할 수 있길 바랍니다.
모든 질환은 조기 발견과 처치가
무엇보다 중요하니,
꼭 관심을 가지고 검진을 받으시는 것을
권유해 드립니다.
긴 글 읽어주셔서 감사합니다.
오산역 치과 였습니다.

치료기간 : 2025.6.1 ~ 현재 진행중
