- 진료항목 임플란트
딱딱한 음식을 씹다가 흔들린 어금니, 오산역 치과 디지털 임플란트로 새 출발?
안녕하세요, 오산역 치과
365라온누리 박흥재 원장입니다.

오늘은 임플란트 정보를 찾고 계신 분들을 위해 실제 진료 사례를 통해 치료 과정과 결과를 자세히 소개해드리고자 합니다. ^^
(많은 분들이 갑작스러운 치아 흔들림으로 고민하시는데, 이번 사례가 도움이 되길 바랍니다.)

식사 중 딱딱한 무언가를 씹는 순간 갑자기 어금니가 흔들리면서 심한 통증을 느끼신 환자분께서 발치를 원한다며 급하게 오산역 치과 로 내원하셨습니다.
환자분은 갑작스러운 상황에 많이 당황하신 상태였고, 통증으로 인해 음식을 제대로 씹기조차 어려워하셨습니다.
정밀한 검진과 촬영을 통해 진단한 결과,

왼쪽 아래 작은 어금니에 심각한 치주염(검게 보임)이 진행되어 치아를 보존하기 어려운 상태였습니다.
치주염으로 인해 치아 주변의 잇몸뼈가 많이 손상되었고, 치아의 뿌리까지 흔들리는 상황이어서 즉시 발치를 진행할 수밖에 없었습니다.
더 큰 문제는 환자분께서 오른쪽 치아들이 이미 없는 상태로 오랫동안 지내오셨다는 점이었습니다.
한쪽으로만 음식을 씹어야 하는 상황에서 남은 치아마저 손상되자, 일상생활에서 식사가 큰 고통이 되어버린 것입니다.
환자분은 “음식을 제대로 씹을 수 없어 소화도 잘 안 되고, 외식을 할 때마다 부담스럽다”며 하루빨리 치료받기를 원하셨습니다.
이런 상황을 종합적으로 고려하여, 오른쪽 부위의 임플란트 치료를 우선적으로 계획하게 되었습니다.
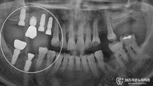
CT 정밀검사

임플란트 식립 전 정확한 치료 계획을 위해 CT 촬영을 실시했고 치아가 상실된 부위의 잇몸뼈 상태를 면밀히 분석했습니다.
오랫동안 치아가 없었던 부위는 잇몸뼈가 많이 흡수된 상태여서 임플란트만 단순히 식립하기에는 부족한 상황이었습니다.
따라서 임플란트 식립과 동시에 뼈이식술을 병행하여 장기적으로 안정적인 기반을 마련하는 것이 필요했습니다.
수술 당일 치료 과정을 상세히 설명드리고, 회복 과정에서 주의사항들도 함께 안내해드렸습니다.
임플란트가 잇몸뼈와 단단히 결합되는 골유착 기간인 약 10주 동안은 정기적인 내원을 통해 회복 상태를 점검했습니다.
이 기간 동안 환자분의 전반적인 구강건강 개선을 위해 잇몸치료도 함께 진행했습니다.
기존에 있던 치주염과 잇몸 염증이 나아지도록, 올바른 구강관리 방법도 지도해드렸습니다.
환자분께서는 처음에는 수술 후 관리가 번거롭다고 하셨지만, 점차 잇몸 상태가 좋아지는 것을 직접 느끼시면서 적극적으로 관리에 참여해주셨습니다.
최종 보철물 단계
회복기간이 끝난 후에는 최종 보철물 제작을 위한 과정이 시작되었습니다.

최근엔 기존의 불편한 인상재료 대신 디지털 구강스캐너를 이용하여 환자분의 구강 내부를 정밀하게 스캔할 수 있습니다.
이 방법은 기존 방식에 비해 이물감이 현저히 적어 대다수 분들이 생각보다 전혀 불편하지 않다며 만족해하십니다.
또한 3D 프로그램을 통해 환자분의 구강구조와 기존 치아들과의 조화를 고려한 최적의 보철물 디자인이 가능합니다.
이러한 디지털 기술을 활용함으로써 더욱 정확하고 심미적으로도 우수한 결과를 얻을 수 있습니다.

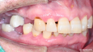
드디어 최종 보철물을 보철물 장착한 후에는 치아가 다시 생기는 것이기 때문에 무엇보다 식사가 많이 수월해지게됩니다.
이처럼 임플란트 치료는 적절한 진단과 체계적인 치료 과정을 거쳐 환자분의 저작 기능 회복과 삶의 질 향상에 도움을 줄 수 있는 치료법입니다. ^^

치료기간 : 2025.2.10 ~ 2025.6.8
