전문가 치아 미백, 남촌동 치과에서 알려드리는 변색된 치아 화이트닝 과정
안녕하세요. 남촌동 치과
박흥재 대표원장입니다.
누렇게 변색한 자연치아는
심미성을 해치는 요인이 되기도 합니다.
이는 식습관과 개별 치아 관리 방법,
혹은 생활 습관과도 밀접한 연관이 있었습니다.
치아는 기능적, 심미적인 부분을
모두 충족해야 하기에
치아 건강을 위해서는 적합한 치료과정을
가져주는 것이 중요합니다.
치아를 하얗게하는 방법은
크게 두가지로 나뉩니다.
미백과 보철 입니다.
미백은 생활치, 실활치미백으로 나뉘고,
보철은 라미네이트와 크라운 같은 심미보철로 나뉩니다.
오늘 남촌동 치과 에서는

2025. 04. 21
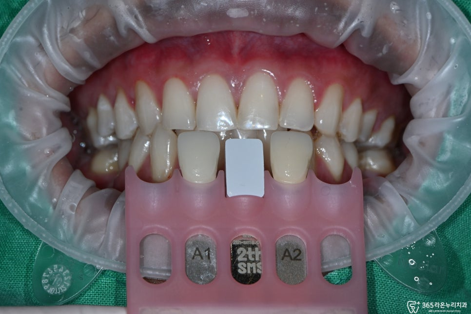
구내 사진을 보면 누렇게 변한 치아들을
볼 수 있지만 정확하게 비교하면서
확인할 수 있는 쉐이드 가이드로
비교를 시작했습니다.

2025. 04. 21
많은 분들이 궁금해 하시는데요.
왜 치아는 변색될까요?
(변색의 원인)1️⃣ 법랑질의 마모
법랑질이 얇아지면서, 그 아래에 있는
노란빛을 가진 상아질이
더 많이 드러나게 됩니다.
2️⃣ 색소 침착
커피, 홍차, 와인, 카레 등
색이 강한 음식 섭취로 인해
치아 표면에 색소가 남습니다.
3️⃣ 니코틴과 타르
니코틴과 타르 성분의 경우
이에 달라붙어 착색을 유발합니다.
4️⃣ 노화
나이가 들면서 조직이 변하고,
상아질질이 두꺼워지면서 색이 짙어집니다.
이러한 이유로 치아 미백을 받으려고 하는데요.
남촌동 치과 에서는
2가지 종류를 구분하고 있습니다.
바로 전문가와 자가 방법입니다.
✅ 전문가 법은
고농도를 단시간에 적용해
빠른 결과를 볼 수 있도록 하며,
✅ 자가 법은
개인용 맞춤 트레이를 만들어
집에서 일정 기간 동안 환자가
직접 적용해 진행을 합니다.
이러한 두가지는 미백 원리를
보면 차이를 알 수 있습니다.
『 미백 과정 』
사람마다 가진 색조가 모두 다르기 때문에
정도에 따라 1번에서,
여러 번일 경우에는 2~3회 정도
시행을 도와드립니다.
다음으로는 잇몸에 자극이 되지 않도록
보호제를 발라준 뒤
미백제 도포를 시작합니다.
고농도의 과산화수소를 도포하고
LED나 플라즈마 광선을 이용해
색소를 빠르게 분해하는데요.
15~20분 정도 지난 뒤에는
이 같은 과정을 필요에 따라 2~3회 반복해
결과를 확인합니다.

2025. 04. 21
1차 미백 후

2025. 04. 28
2차 미백 후

2025. 04. 21 ~ 2025. 04. 28
전후 사진까지 보면
확연하게 달라진 모습을
볼 수 있는데요.
더불어 위 환자처럼 단기간에
개선을 원하시는
빠르고 효과적인 결과를 기대할 수 있습니다.
▮ 주의사항
전문가미백 시술 후에는 다음 사항을 주의해야 합니다.
1️⃣ 미백 후 24시간 동안 커피, 차, 레드와인 등
색소가 강한 음료를 피해야 됩니다.
이러한 음료는 치아의 미백 효과를
감소시킬 수 있습니다.
2️⃣ 치아가 민감해질 수 있으므로
차갑거나 뜨거운 음식을 조심해야 됩니다.
3️⃣ 정기적으로 치과 검진을 받아 미백 후
치아 상태를 점검하고,
필요시 추가 치료를 받는 것이 좋습니다.
위와 같은 과정으로
시술을 마쳤다면 구강 위생 관리는 필수입니다.
하루 3회 이상 식사 후 꼼꼼한 칫솔질과 더불어
이 사이는 치실을 사용해 표면을
깨끗하게 유지하는 과정이 필요합니다.
치료 후 오랫동안 하얀 이로
유지하려면 착색이 심한 음식 섭취를 줄이고
양치 후 바로 물로라도 구강 내를
헹구는 습관을 들이는 것을 권해드립니다.
긴 글 읽어주셔서 감사합니다.
남촌동 치과 였습니다.

치료기간 : 2025. 04. 21 ~ 2025. 04. 28