신장동 치과 치아 부식 및 교모, 마모 오버레이를 이용한 원데이 치료 과정
안녕하세요.
신장동 치과 박흥재 대표 원장입니다.
평소와 크게 다를 것 없이
생활하다가 찬물을 마시거나,
혹은, 영양분을 섭취하는 데
갑작스러운 통증이나 시린 증세가
나타나 불편하다면,
먼저 구강 내를 검사하는 것이 좋은데요.
대체로 이러한 증상은
치아부식, 마모증, 교모증 등 의해
발생 할 수도 있는데요.
하지만, 근본적인 원인과
상관없이 오랫동안 방치한다면,
오히려 자연치를 보존하기 어려워질 수 있으므로,
제때 적절한 진단을 받아
알맞은 처치를 시작하는게 좋습니다.
위와 같은 증상은
치아의 광택이 없을 뿐만 아니라,
누런 부분이 드러나 있거나,
자연치가 닳아 짧아진 형태
이러한 증상이 발현될 수 있습니다.
오늘 신장동 치과 에서는
위와 같은 문제를 원데이 오버레이를 통한
치료 과정을 설명드리겠습니다.

2025. 04. 30
신장동 치과 에서
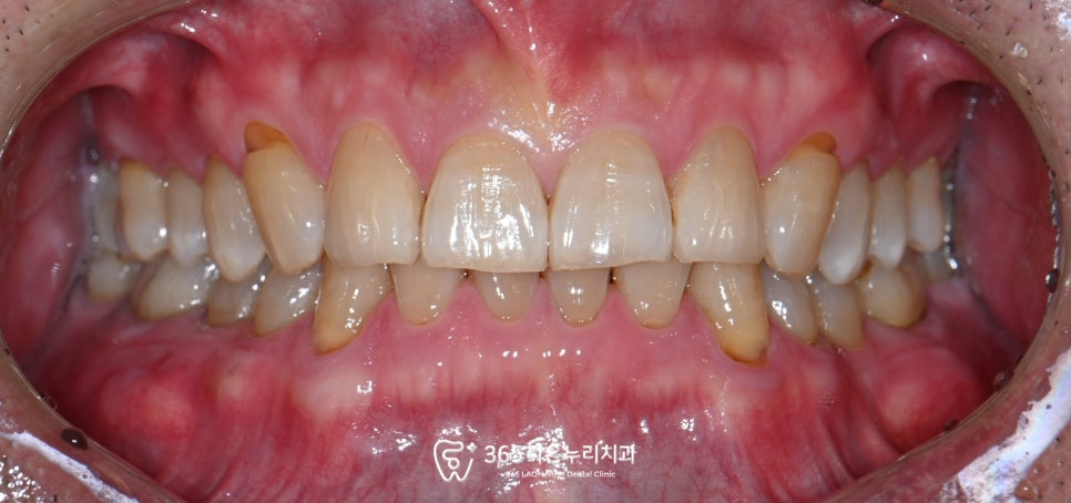
정면에서 찍은 사진을 보면
치경부 마모증이 보이지만
큰 문제가 보이지는 않았습니다.

2025. 04. 30
하지만 교합면쪽 사진을
신장동 치과 에서 확인해 보면
치아가깨지고 마모된 모습을
한눈에 볼 수 있습니다,
위 사진과 같은 문제는
영구치들이 서로 부딪히는 교합력에 따라
법랑질 구조가 점차 닳는 유형이
흔히 볼 수 있었는데요.
따라서, 질기고 딱딱한 식품을
즐기거나 이갈이 습관이 교정되지 않았을 때
쉽게 발생할 수 있는 증상이라 할 수 있습니다.
무리한 저작력과 교합 상태,
구강 구조에 따라 상이 할 수 있으며
아무래도 30대부터 40대 이후 증상이
쉽게 나타납니다.

2025. 04. 30
오늘 신장동 치과 에서
설명드리는 치료부위 치근단
사진을 봤을 때
다행히 신경까지 손상이 없었고,
구강스캐너를 통한
원데이 오버레이 치료 과정을
보겠습니다.
덮어 씌우는 크라운은
단단하게 보호해 주는 역할을 하지만,
많은 양의 삭제와 신경치료가
필요할 수도 있어서 부담이 될 수 있습니다.
그래서 여기서 오버레이란
크라운처럼 전체를
덮지 않고 손상된 부위만
덮어주는 방식을 말합니다.

비교적 치아 삭제량이 적고,
자연치아를 보존할 수 잇다는
장점이 있습니다.
오버레이를 할 때에는 주변의
법랑질이 중요합니다.
충치와 손상된 치질을 모두 제거하고,
레진을 코팅 후 구강스캐너로
스캔하는 과정이 있습니다.

2025. 04. 30
그 후 CAD를 이용해
디자인을 해부학적인
형태를 살려 디자인 후,
접착을 진행합니다.

2025. 04. 30
그러면 위와같은 오버레이를
접착하는데 몇시간이면
충분히 치료를 종료할 수 있는것이죠.
이걸 혀로 느껴보면
매끈매끈해서 따로 이질감이 없는데요.
환자별로 다양한 치료방법을 적용할 수 있는데요.
크라운말고도 위와 같은 치료방법으로
개인에게 맞는 치료를 진행할 수 있습니다.
오늘 신장동 치과 에서는
크라운 대신 오버레이로 완료한 사례를
설명드렸습니다.
치아가 약해 크라운 치료를 권유받았을 때
오버레이라는 방법도 있다는 것을
꼭 기억해 주셨으면 좋겠습니다.
치아는 지금 어떻게 치료하고
관리하느냐에 따라 앞으로의 건강이
달라질 수 있기 때문에,
더 늦기 전에 나에게 맞는
치료 방법을 찾아보시는 게 좋습니다.
지금까지 신장동 치과 였습니다.
감사합니다.
