365라온누리치과 인레이부터 임플란트까지, 단계별 치료 과정
“치과에 가면 왜 이렇게 여러 번 와야 하나요?”
많은 분들이 치과 치료 과정에서 가장 궁금해하시는 질문입니다.
마치 집을 지을 때 기초공사부터 마감재까지 단계별로 진행하듯이, 치과 치료도 체계적인 순서와 충분한 회복 기간이 필요합니다.
오늘은 실제 환자분의 치료 사례를 통해 인레이부터 임플란트까지, 복합적인 치과 치료가 어떻게 단계별로 진행되는지 자세히 살펴보겠습니다.
치료의 시작, 정확한 진단이 우선!

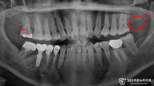
왼쪽 윗어금니가 아프고 시린 증상으로 내원하신 환자분입니다.
또한 대칭되는 위치에는 치아가 이미 상실된 상태로,
단순히 한두 개의 치아 문제가 아닌 여러 치아에 걸친 종합적인 치료가 필요한 상황이었습니다. 
초진 시 정밀 검사 결과 17번 치아(상악 좌측 제2대구치)의 하방 우식이 심각한 상태로 발견되어 가장 우선적으로 치료를 시작하게 되었습니다.
치과에서는 항상 응급성과 치료의 우선순위를 고려하여 치료 계획을 수립합니다.
통증이 심하거나 감염 위험이 높은 치아를 먼저 치료하고, 이후 단계적으로 다른 치아들의 치료를 진행하는 것이 일반적인 접근 방법입니다.
임플란트 식립
오른쪽 윗 어금니 인레이 세팅 과정에서 동시에 반대편 에는 임플란트 식립을 진행했습니다.
이는 치료 효율성을 높이고 환자분의 내원 횟수를 줄이기 위한 계획적인 접근입니다.
다만 임플란트 식립 후 고정력이 예상보다 낮게 측정되어 즉시 보철물을 연결하는 1차 수술 대신, 충분한 골유착 기간을 거친 후 2차 수술을 진행하기로 결정했습니다.
이어서 37번 치아(하악 좌측 제2대구치)의 인레이 치료를 진행했습니다.
인레이 수복과정

인레이 프렙(치아 삭제) 후 세팅을 완료하고, 전반적인 잇몸 상태 개선을 위한 잇몸 치료를 병행했습니다.
잇몸 치료는 단순히 스케일링만으로 끝나는 것이 아니라, 잇몸 조직이 건강하게 회복될 수 있도록 충분한 시간을 두고 관찰하는 과정이 포함됩니다.
건강한 잇몸은 모든 치과 치료의 기본 토대가 되기 때문입니다.
이처엄 여러 부위를 동시에 치료함으로써 전체적인 치아 건강도를 향상시킬 수 있었습니다.
최종 보철 완성

2차 수술 후 임플란트 인상 채득을 통해 정밀한 보철물을 제작하고 최종 세팅까지 완료하여 전체 치료를 마무리할 수 있었습니다.

치료기간 : 2025.3.31 ~ 2025.8.12
이번 사례에서 볼 수 있듯이, 복합적인 치과 치료는 단순히 시간이 오래 걸리는 것이 아니라 각각의 치료 단계마다 충분한 회복 기간과 치유 과정이 필요합니다.
임플란트의 골유착, 잇몸 조직의 회복, 인레이의 안정화 등 모든 과정에는 생체학적 치유 시간이 반드시 필요합니다.
또한 우선순위를 고려한 체계적인 치료 계획은 전체적인 치료 성공률을 높이고, 환자분의 불편함을 최소화하는 데 중요한 역할을 합니다.
치과 치료가 오래 걸리는 것이 번거로우실 수 있지만, 이러한 단계적 접근이야말로 건강한 치아를 오래 유지할 수 있는 가장 확실한 방법입니다!
지금까지 365라온누리 치과 였습니다. 🙂
