- 진료항목 임플란트
세마역 치과 70대도 가능한 임플란트 치료, 무려 3개월 만에?
“나이가 많으면 임플란트 수술은 어렵다”는 말,
한 번쯤 들어보셨을 텐데요. 과연 정말 그럴까요?
세마역 치과 70대 환자분의 실제 치료 사례를 통해 진위 여부를 한번 확인해보겠습니다. ^^
흔들리는 어금니 뽑아야될까?
한 70대 여성 환자분이 저희 치과를 찾아주셨습니다.
“평상시에는 괜찮은데 음식을 씹을 때만 아파요”라며 오른쪽 아래 어금니의 불편함을 호소하셨죠.
나이가 들수록 치아 건강에 더욱 신경 쓰게 되는데, 특히 어금니는 음식을 씹는 핵심 역할을 하다 보니 문제가 생기면 일상생활에 큰 지장을 받게 됩니다.
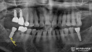
정밀 검사 결과, 오른쪽 아래 어금니(47번 치아) 주변으로 뼈가 많이 소실된 상태였습니다.
치아 뿌리 아래쪽까지 염증이 진행되어 더 이상 살리기 어려운 상황이었죠.
이런 경우 발치가 불가피하며, 씹는 기능을 회복하기 위해서는 임플란트 치료가 가장 좋은 선택이 됩니다.
나이는 숫자에 불과하다, 즉시 임플란트의 선택

많은 어르신분들이 “70대에도 임플란트가 가능한가요?”라고 문의하십니다.
결론부터 말씀드리면, 나이 자체는 임플란트 치료의 절대적 금기사항이 아닙니다.
오히려 나이보다는 환자분의 전신 건강 상태와 구강 상태가 더 중요한 판단 기준이 되죠.
이번 환자분의 경우, 전신 건강 상태가 양호하고 잇몸 상태도 치료가 가능한 수준이었기 때문에 발치와 동시에 임플란트를 식립하는 ‘즉시 임플란트 식립’ 방법을 선택했습니다. 
치근단 주위염증이 발견된 부위인 사랑니 포함, 2개의 어금니를 발치한 후, 발치 자리에 바로 임플란트를 심고 뼈 이식까지 함께 진행했습니다.
이렇게 하면 치료 기간을 단축할 수 있고, 환자분의 내원 횟수도 줄일 수 있어 부담을 덜어드릴 수 있습니다.
인내의 시간, 그리고 성공적인 결과
임플란트 치료에서 가장 중요한 것 중 하나는 ‘기다림’입니다.
임플란트가 잇몸뼈와 단단히 결합되기까지는 충분한 시간이 필요하죠.
이번 환자분의 경우에도 두 달 넘게 치유 기간을 가졌습니다.
이 시간 동안 환자분께서는 정기적으로 내원하여 회복 상태를 점검받으셨고, 염증 관리와 구강 위생 관리에도 적극적으로 협조해 주셨습니다.
충분한 치유 기간이 지난 후 정밀한 수치 측정을 통해 임플란트의 안정성을 확인했습니다.

다행히 임플란트가 뼈와 잘 결합되어 있었고, 이식한 뼈도 성공적으로 자리 잡았음을 확인할 수 있었습니다.
이후 임플란트 보철물을 제작하여 최종 장착함으로써 모든 치료를 성공적으로 마무리할 수 있었습니다.
3개월 만에 완성된 새로운 치아
전체 치료 기간은 약 3개월이었습니다.
70대라는 나이를 고려했을 때 놀라울 정도로 빠른 회복을 보여주신 셈이죠.
나이가 들어서도 건강한 치아로 맛있는 음식을 드시고 싶은 마음은 누구나 마찬가지입니다.
임플란트는 단순히 빠진 치아를 대체하는 것을 넘어서, 삶의 질을 향상시키고 자신감을 되찾아주는 소중한 치료입니다.
나이 때문에 포기하지 마시고, 전문의와 충분한 상담을 통해 본인에게 가장 적합한 치료 방법을 찾아보시기 바랍니다.
세마역 치과 박흥재 원장이었습니다 . ^^
치료기간 : 2025.5.13 ~ 2025.8.11
