심한 충치와 골소실로 인한 불편감, 오산대역 치과 임플란트 및 충치치료 과정
안녕하세요.
오산대역 치과 박흥재 대표원장입니다.
치아는 우리 생활 속에서
많은 역할을 하고 있습니다.
식사를 할 때뿐만 아니라
심미적으로도 큰 역할을 하고 있죠.
이런 많은 역할을 하고 있는
자연치가 제 기능을 상실한다면,
그만큼 불편감도 따르게 되는데요.
오산대역 치과 에서
오늘은 한번 충치치료했던 곳에
문제가 생기면 개선하는 과정을
설명드리겠습니다.
『 예전에 수복했던 크라운쪽 문제가 발생합니다. 』
오래된 보철에는 철저한 관리를
하지 않으면 자연치아보다
문제가 생기기 쉽습니다.

2024.12.20
오산대역 치과 에서
위 보여드리는 사진을 보면
치료했던 보철 아래로 잇몸
염증이 생긴 모습을 볼 수 있습니다.

2024.12.20
또 주변 치아들은
심한 우식증이 발생하였는데요.
육안으로 확인해 봤을 때는
정확하게 판단하지 못하여
오산대역 치과 에서
엑스레이 사진도 같이 보여드리겠습니다.

2024.12.20
파노라마 엑스레이 사진을 보면
치조골쪽 염증으로 인한
광범위한 치조골 소실 양상이
관찰되었습니다.
병소가 커져서 뼈가 녹는 동안에는
통증이 있을 수 있으나,
뼈가 많이 녹은 이후에는
점차 커지고 있는 병소가
밖으로 빠질 수 있어
통증이 없는 경우가 있습니다.
해당 치아는 이미 제 기능을
상실했기에 발치하고,
병소를 긁어내 임플란트 진행을 해야 됩니다.

2024.12.20
임플란트 를 심기 전 CT를 통해
확인한 뼈의 형태와 구조를 토대로
식립 위치를 미리 설정했야 됩니다.
국소마취하에 이를 뽑고,
소파술로 병소가 남아있지 않도록
깨끗하게 제거한 다음 해당 부위에
임플란트 를 심는 과정을 가지게 됩니다.

2025.02.13
그리고 픽스쳐와 뼈가 회복하는 동안
주변에 충치가 있던 치아는
근관치료 및 인레이 치료로 충치를 개선합니다.

2025.02.13
오산대역 치과 에서
보여드리는 위 사진은
근관속에 있던 신경을
제거하는 과정입니다.

2025.02.20
그리고 구강스캐너를 통해
인상채득을 진행 후 크라운을
수복해 주어 치료부위를 보호해주어야 됩니다.
임플란트 식립했던 부위도
안전한 수치가 나오게 되면
똑같이 인상채득을 해주고

2025.04.17
개인 맞춤형 지대주와 임시치아를
먼저 제작해 환자 적응과 교합관계를
확인 후 최종보철을 제작하게 됩니다.

2025.04.24
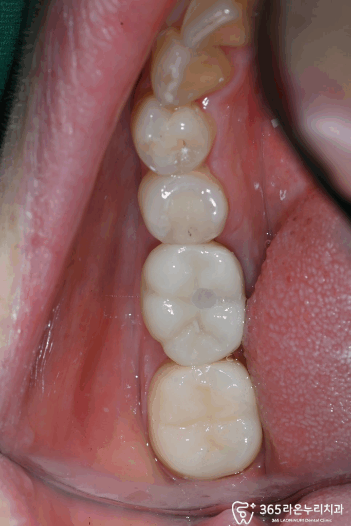
모두 완료된 모습을 보면
충치가 있던 곳도
없어진 것을 볼 수 있는데요.
위 치료 과정은
짧지 않은 시간동안
치료를 해야되는데요.
의료진을 믿고 신뢰해 주시고
잘 따라와 주시면
더욱 좋은 결과가 있습니다.
오늘 오산대역 치과 에서는
복합 치료 과정을 거쳐
구강건강을 깔끔하게 회복했었던
케이스를 설명드렸는데요.
치료를 해야 된다는 것을 알고도
방치하고 시간이 계속 흘러가게 되면
더 큰 병을 불러올 수 있습니다.
그렇기에 평소 구강관리와
정기검진을 받는 습관을 들여
미리 예방하는 게 좋습니다.
긴 글 읽어주셔서 감사합니다.
오산대역 치과 였습니다.

치료기간 : 2024.12.20 ~ 2025.04.24
