염증으로 골소실이 심한 앞니 오산 치과 전치부 임플란트 식립 과정
안녕하세요.
오산 치과 박흥재 원장입니다.
구강은 겉모습은 멀쩡해 보여도
속으로는 문제를 일으키는
경우가 있습니다.
치아 통증도 마찬가지인데요,
간혹 보기에 멀쩡한 이가
아프다고 느껴질 때
치아 뿌리 속 깊은 곳까지 살펴보며
원인을 찾는 것이 중요합니다.
오늘은 오산 치과 와 함께
겉으로는 건강해 보였던 곳에서
발생한 통증의 원인과
그 개선 방법을 설명드리겠습니다.

2024.12.16
오산 치과 에서
사진을 보면 표시한 치아에
잇몸인 내려간거 빼고는
겉모습으로 봤을 때는
큰 문제가 없어 보이는데요.
하지만, 지속적인 불편감이 있다면,
치근단 염증을 의심해 볼 수 있습니다.
그래서 오산 치과 에서
앞니 주변의 치조골을
보면서 설명드리겠습니다.

2024.12.16
엑스레이 사진을 보면
세균 감염이 일어나면서,
염증이 발생할 수 있습니다.
그래서 치조골이 소실되어
뿌리를 잡아주지 못해
흔들리고 있는 모습까지
확인할 수 있었습니다.
현재 심각한
잇몸 염증이 있었기에,
발거 후 앞니 임플란트 과정을
오산 치과 에서 설명드리겠습니다.
앞니 임플란트 수술은
어금니에 비해 기술적으로
더 까다로운 경우가 많습니다.
크라운의 형태와
잇몸 모양까지 신경써야
되기 때문입니다.
또한 앞니는 발음에 중요한
역할을 하기 때문에,
올바른 위치에 임플란트
수술을 진행할 필요성이 있습니다.

2024.12.16
CT를 활용해 주위 치주 조직과
상악동, 하치조 신경, 인접 치아의
치근에 따라 실제 수술 준비를
하는 과정이 있습니다.
임플란트 픽스처는 한 번
식립하면 위치를 수정하기 까다로운
특성 때문에, 더욱
신중한 수술이 필요합니다.
CT 데이터를 이용해
임플란트 식립 위치를
정하게 됩니다.

2024.12.16
정확한 식립과 더불어
겉면 뼈를 보강해,
두께와 높이가 최대한
유지되는 모습이 보입니다.

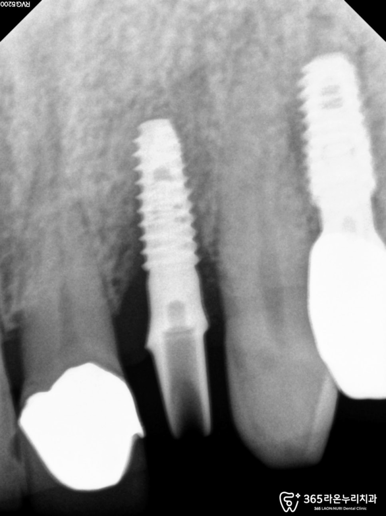
2025.04.16
이후 어버트먼트를 체결하여,
크라운이 들어갈 수 있도록
합니다.

2025.04.16
임시치아를 통해
미리 형태를 알아볼 수 있는데요.

2025.04.16
또, 마지막 단계인 크라운을 제작할 때
임시치아를 참고하고, 주변 치아와 자연스럽게 어울릴
수 있는 색조를 신중히 선택이 필요합니다.
▮ 완성
아래는 크라운을 셋팅 후 모습입니다.

2025.04.23
인접치와 색과 형태 모두 이상적인 형태와
가깝게 제작되었습니다.
앞니는 치아 보철의 심미성뿐만 아니라
잇몸의 모양을 자연스럽게
만드는 것이 중요합니다.
염증이 있던 자리도
이제는 회복되고,
주변으로 뼈도 단단하게
결합되어 있습니다.
임플란트 수술 이후
6개월마다 한 번씩
가까운 의료 기관에 내원하시어
정기 구강 검사를 받아보시는
것을 권해드립니다!
감사합니다.
오산 치과 였습니다.

치료기간 : 2024.12.16 ~ 2025.04.23