앞니쪽에 생긴 충치, 남촌동 치과 레진을 통한 심미적 치료 과정
안녕하세요.
남촌동 치과 박흥재 원장입니다.
치아우식증, 흔히 충치라고 불리는데요.
많은 사람들이 이런 질환을
가볍게 여기고 방치하는 경우가 많습니다.
그러나 충치는 시간이 지나면
심각한 치아 손실로 이어질 수 있어
조기에 대처하는 것이 중요합니다.
「 충치 발생 원인 」
우리 구강에는 수많은
미생물과 세균이 존재하고 있습니다.
음식을 섭취할 때마다 세균과
미생물들은 음식 찌꺼기를 분해합니다.
이 과정에서 산이 발생합니다.
특히 탄수화물이 분해되면서
만들어지는 과당은 세균의 주요 영양원이 되고,
이때 발생하는 산이 치아 표면에
손상을 주기 시작합니다.
치아 표면의 미세한 틈에
남은 음식은 제대로 청소되지 않으면
타액의 무기질과 결합해
딱딱한 치석으로 변하게 되는데요.
이 치석은 치아 표면을
부식시키고 통증을 유발하는데요.
이 과정이 오랫동안 방치되면
치아우식증이 진행되어 결국
자연치를 잃을 수 있습니다.
남촌동 치과 에서는 이를 예방하기
위해서는 초기에 대처하고 손상을
줄이는 것이 중요하다고 생각합니다.

2025.04.18
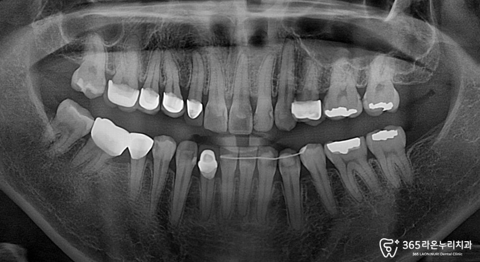
사진과 같이 앞니 쪽에도 우식증이 있고,
전체적으로 충치와 마모가 보입니다.

충치는 4단계로 구분할 수 있는데요.
1️⃣단계
충치는 치아 표면의 법랑질에만
세균이 침투한 상태를 말합니다.
이때는 통증이나 불편함이 거의 없고,
눈으로도 확인하기도 어려운 경우가 많습니다.
남촌동 치과 에서는
정밀한 검진으로 발견하는 경우가 더 많죠.
이 단계에서는 변색된 부분을 제거하고,
레진을 이용해 자연치와 유사한 색상으로
복원하는 치료가 가능합니다.
2️⃣단계
충치는 법랑질을 넘어 상아질까지
세균이 침투한 상태입니다.
이때부터는 음식 섭취 시 통증이 발생하고,
치아에 힘을 주지 않아도 불편함이 느껴집니다.
자연치 손실이 크고 치아의 경도가 약해지기 때문에
레진만으로는 충분하지 않고,
상실된 부분에 맞춰 보철물을
제작하는 치료가 필요합니다.
3️⃣단계와 4️⃣단계는
세균이 상아질을 넘어
치아의 뿌리와 신경관까지 침투합니다.
남촌동 치과 에서 봤을 때는
이 경우 더 이상 자연치아 기능을 못 하게 됩니다.
이때는 신경치료가 필요하며,
신경에 침투한 세균을 제거한 후,
감염이 되지 않도록 밀폐합니다.
이러한 단계별로
나눠 정확한 검진을 하였습니다.
▮ 레진치료

2025.04.18
우선,엑스레이를 확인해 봤을 때
앞니가 충치 범위가 작고
신경이 손상되지 않은 경우, 레진 치료로
회복이 가능합니다.
레진은 치아와 유사한 색을 가진 재료로,
깨진 부위를 자연스럽게 메꿀 수 있습니다.
치아를 많이 깎지 않고 수복물로
손상 부위를 복원할 수 있는 것이죠.
짧은 과정으로 빠르게
회복할 수 있다는 장점이 있죠.
모양이나 대칭 및 주변 치아의
광학적 특성을 굉장히 유사하게
재현해야 되고, 접착력만으로
레진이라는 재료를
치아 표면에 붙여야 되기 때문에
굉장히 세심히 처리해야 됩니다.
그리고 현재 색조와
유사한 제품을 선택해서
겹겹이 쌓아 올리는 ‘적층법’으로
단단하게 충전했습니다.

2025.04.18
전후로 보겠습니다.
치료한 사진을 보게 되면
거뭇거뭇 한 부분이 안 보이는데요.
꼼꼼한 치료도 중요하지만
치료 후에도 꾸준한 관리가 필요하다는 것도
남촌동 치과 에서 알려드립니다.
▮ 마치며
오늘은 남촌동 치과 에서
치아 우식증의 대해 알아보았습니다.
치아는 한번 손실되면 다시 자라지 않기 때문에
가능한 한 오랫동안 건강하게
유지하는 것이 중요합니다.
우식증이 시작되었는데
적절한 치료를 받지 않으면
더 심각한 문제로 이어질 수 있습니다.
긴 글 읽어주셔서 감사합니다.
남촌동 치과 였습니다.

치료기간 : 2025.04.18