어린이충치예방 실란트(치면열구전색)를 진행한 오산대역 치과 영구치를 관리하기 위한 첫걸음
안녕하세요.
오산대역 치과 입니다.
건강하고 튼튼한 치아를 가리키는 건치,
오복 중 하나라고 꼽힐 정도로 충치가 없고
건강하고 튼튼한 치아는 우리 삶의 질을
결정하는 중요한 부분입니다.
치아 문제 중 제일 큰 것이
바로 충치입니다.

문제가 심해져 통증이 심해졌을 때에는
이미 가볍게 치료할 수 있었던 것도,
과도하게 치아를 깎아야 되는 경우까지
생깁니다.
때문에 영구치가 맹출 할 때
미리 예방이 가능하다면
미리 하는 것이 좋습니다.
「 어린이 충치예방
실란트 (치면열구전색) 」

치면열구전색제는
주로 어린이와 청소년의
영구치에서 저작하는 면의
좁고 깊은 열구를 보호하기 위해
사용됩니다.
이 재료는 열구를 막아 음식 찌꺼기와
세균이 축적되지 못하도록 하여
충치를 예방을 하는 역할을 합니다.
그렇기 때문에 어금니가
자라난지 얼마 되지 않은 어린이들에게
효과적으로 적용되는
충치 예방법 중 하나입니다.
보통 아이들은
어른들보다 구강 위생 관리에
소홀한 경우가 많아
식사나 간식을 먹고 난 뒤
양치질을 잘 하지 않아
우식이 생기는 경우들이 종종 생깁니다.
이러한 부분들을 대비해
저희 오산대역 치과 에서는
치아 홈 메우기를 진행하고 있습니다.
충치가 제일 잘 생기는 이는 바로 어금니입니다.

2024. 12. 30
오산대역 치과 에서
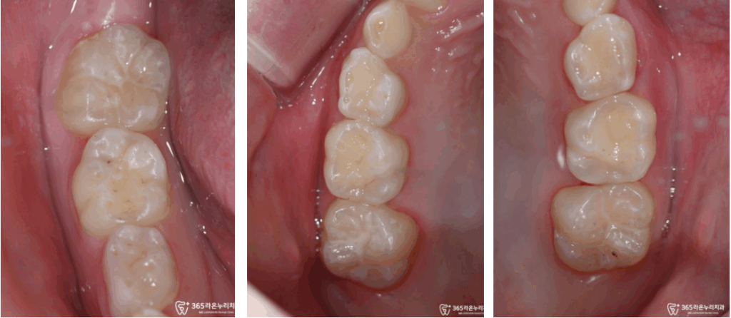
실란트를 했던 케이스를 살펴보면
영구치의 굴곡되고 거친면을
흐름성이 좋은 코팅약재를 이용하여
메웠습니다.
치아를 만져보면 생각보다 저작하는 면이
울퉁불퉁하죠?
이 굴곡된면을 열구라고 합니다.
위 사진과 같이 코팅을 하게 되면
양치가 용이하고
충치에 탁월한 효과를 줍니다.
「 실란트 건강보험 」
치면열구전색을 받게 된다면
건강보험 적용이 가능합니다.
만 18세 이하의 대상 치아로
총 8개가 보험이 적용됩니다.
게다가 2017년 10월부터
본인부담금도 30~60%에서
10%로 인하되었습니다.
오산대역 치과 에서
위와 같은 치료를 하면
▮ 치면열구전색 한 번 받으면 평생가나요?
개인마다 차이는 있지만
관리만 잘 이루어진다고 가정했을 때,
몇 년 동안 지속되고 있는데요.
더 오래 지속될 수 있기도 하고,
더 빨리 떨어질 수도 있습니다.
Q. 그럼 언제 받는 것이 좋을까요?
보통 영구치의 첫 번째 어금니가 나오는 때인
6~7세에 받는 것을 권해드립니다.
첫 번째 어금니는 치열에서
중요한 역할을 하는데,
이때 우식이 생긴다면
이후의 치열이나 구강 건강에
좋지 않은 영향을 줄 수 있기 때문에
미리 예방을 하면 좋습니다.
또한, 두 번째 어금니가
나오는 11~13세 즈음에도
적용할 수 있습니다.
오산대역 치과 에서는
빠르고 간편한 방법으로
경제점 이점 또한
얻을 수 있기 때문에
타이밍에 맞춰 시술받을 것을
권해 드립니다.
오산대역 치과 에서는
아이들의 구강 건강 증진될 수 있도록
최선을 다하겠습니다.
긴 글 읽어주셔서 감사합니다.

치료기간 : 2024. 12. 30
