하치조 신경이 누르고 있던 까다로운 매복 사랑니 발치 붓기 덜하게 수술 진행 해드린 신장동 치과 진료 케이스
안녕하세요
신장동 치과 입니다.
오른쪽 아래 맨 끝 이가
지속적으로 아픈 이유로는
여러 가지 증상들을
꼽아볼 수 있습니다.
그 중에서도 사랑니 로
인한 문제를 높은 확률로
꼽을 수 있는데요.
오늘은 이런 이유에 대해
같이 알아보도록 하겠습니다.
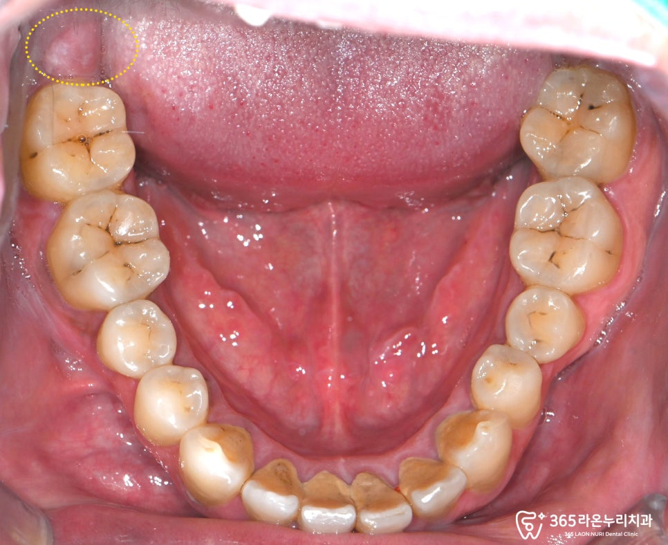
우선 구강 상태를 확인해보겠습니다.
현재, 오른쪽 맨 뒤 어금니쪽으로
잇몸 붓기가 심한 모습인데요.
붓기 가 나타난 원인으로
매복 사랑니 가 있는 것으로 의심되어,
구강을 자세히 확인해보기로 했습니다.

이처럼 매복 치아가 제대로 자리 잡지 못하고
주변 잇몸이 붓거나 염증이 생기면
지속적인 통증이 나타납니다.
신장동 치과 에서는 좀 더
자세한 확인을 위해 엑스레이를
촬영해보기로 했습니다.

그러자 엑스레이 사진에서
치아가 매복되어
누워 있는 모습이 관찰되었습니다.
이처럼 치아가 누운 상태로
자라면 앞쪽 어금니를 지속적으로 밀어냅니다.

이 과정에서 신장동 치과 에서는
치아 뿌리에 압력이 가해져,
신경이 자극되면서 지속적인 통증이
나타난 것으로 확인하였습니다.
이런 매복된 사랑니 는
잇몸 내부에 위치하면서 염증을
일으키기도 하는데요.
염증이 심해지면 통증 뿐만 아니라
붓기나, 고름, 심한 경우 발열의
원인이 되기도 하기에 발치를
권해드리고 있습니다.
그리고 매복 사랑니가
아래에 흐르고 있는 하치조 신경과
완전히 겹쳐져 보이는 판독
결과를 볼 수 있었습니다.
「 만약 매복 사랑니 발치 진행 시
하치조 신경을 건드리게 되면
어떻게 될까요? 」
이를 알아보기 전에 우선
하치조 신경관(inrerior alveolar nerve)
이 무엇을 뜻하는지
알아볼 필요가 있습니다.

아래턱에 흐르는 감각 신경으로
자극을 주게 되면 감각 이상 증상이
나타날 수 있습니다.
마취가 덜 풀린 듯한 얼얼한 느낌이
입술이나 턱 그리고 잇몸에 수개월
이상 지속될 수 있기에 주의가 필요합니다.
그렇기 때문에 정확한 진단은 필수입니다.
엑스레이 사진에서 치아와
닿아 있지 않아도 위치 상
겹쳐 보일 수 있기에, 신장동
치과 에서는 CT 촬영 후
재판독하였습니다.

CT를 찍어 신경과의 관계를
알아보고 닿지 않은 채
근접해 있는 것으로만
진단되어, 사랑니 발치를
진행하기로 했습니다.
엑스레이를 찍어보고
손상으로 인한 감각 이상 가능성이
있다고 생각된다면 CT를 찍어
신경과의 관계를 알아보는 것이 중요합니다.
이는 대학 병원급으로 리퍼를
안내를 받을 수 있는 치료 케이스였습니다.
그러나 치아를 쪼개어서 발치를 진행하였고
누워 있던 치아를 손상 없이
무사히 뽑아낼 수 있었습니다. ^^
『 수술은 합병증이 발생하기 전에
미루지 않고 진행하는 것이
중요합니다. 』
만일 잇몸 붓기, 통증이 있다면
전문 의료기관에서
검진을 받아보시는 것을
권해드립니다.
감사합니다.
신장동 치과 의사 박흥재 원장이였습니다.
오늘도 좋은 하루 보내시길 바랍니다!

진료 기간: 2025.2.17 ~ 2025.2.26