예전부터 아프기 시작한 앞니 잇몸 통증 & 흔들림 있는 곳 발치 후 당일 임플란트 수술 후 임시 치아 올린 동탄동 치과
안녕하세요
동탄동 치과 입니다.
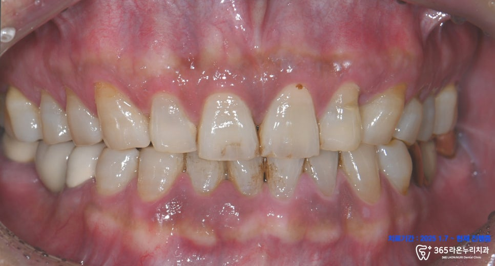
몇달 동안 앞니쪽
잇몸에 통증이 있고
흔들리는 느낌이 있다면,

오늘은 이와 관련된 내용에
대해 소개해드리려 합니다.


치근단 사진과 엑스레이 사진에서 확연하게
원심 치근의 골소실이 관찰되어,
정밀 진단을 위한 CT 촬영을
진행했습니다.


그러자 CT 사진에서 골소실
부위가 명확하게 나타나고 있었는데요.
이렇게 염증으로
골이 소실되는 현상을
치주염이라 합니다.
치주염은 치아 주변의
치근막과 치조골에 염증이
생겨 아픔이 발생하는 질환입니다.
잇몸을 만지면 심한 통증이
느껴지거나, 퍼지는 듯한 느낌이
점차 심해지는 특성을 갖고 있습니다.
치주염은 잇몸에만 아픔이 나타나는
치은염과 다르게, 이렇게 치근부나 뿌리 끝
주변 치주조직에 생겼을 때
잇몸 뼈까지 통증을 유발합니다.
그리고 치주염이 만성으로
진행되면 이가 통증과 함께
빠질 수도 있는 무서운
질병입니다.
따라서 믿을 수 있는 전문가에게
정확한 진단을 받고
치료하는 것이 중요합니다.
동탄동 치과 에서는
정밀 검사 끝에
앞니 발치 후 임플란트
식립과 뼈이식을 함께
진행해야된다는 진단을
내렸습니다.
그러나 환자께서,
당장 이 통증을 해결하길 원하셨기에
상담을 통해 당일 발치 후
임플란트 뼈이식 과정을
진행하기로 결정하게 되었습니다.
「 당일 발치 후 즉시 수술을
받으면 어떤 점이 좋을까요? 」
우선 치료 기간은 단축되면서
내원 횟수가 줄어든다는 장점을
갖고 있습니다.
주변 잇몸 조직의 손상을
줄일 수 있는데요.
발치 부위의 뼈를 최대한
보호할 수 있기 때문에,
치조골의 손상을 최소화
할 수 있습니다.
많은 이점을 갖고 있지만
물론 모든 경우에 적용할 수
있는 것은 아닙니다.
만일 염증이나 잇몸 질환이
심한 경우, 또는 골소실이
광범위하게 일어났다면
시술이 까다로울 수 있습니다.
그렇기 때문에 이 상태를
포함한 구강 환경을 면밀하게
체크하여 환자에게 맞는
시술 계획을
정확히 세울 필요가 있습니다.

서지컬 가이드 수술
방식을 이용하여
환자 구강에 딱 맞는
수술 계획을 세웠는데요.
이 방식은 3D 모의 시술로
오차 없이 정확하게
잇몸 최소 절개로 식립이
가능합니다.
그래서 신경 손상과
통증 그리고 출혈 걱정
없이 더욱 정밀한
임플란트 수술을
진행해드리고 있습니다.
그렇게 서지컬 가이드를 이용해
좋은 방향으로 심어졌습니다.
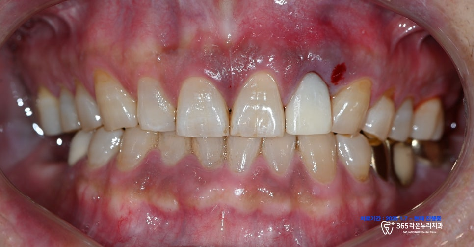
그리고 앞니 치료를 진행하는 동안
사용하실 임시 치아도 예쁜 형태로
완성되었습니다.
동탄동 치과 의
임시 치아란 무엇일까요?
신경치료 후나 임플란트 식립 과정에서
크라운이라 부르는 영구적인
보철이 들어가기 전까지
당분간 사용하도록
제작되는 것입니다.
「 왜 이렇게 사용하는 건가요? 」
즉시 최종 크라운을 올리지 않고
왜 임시 치아를 올리는 지,
궁금해하시는 분들이 계실 것
같습니다.
수술 후 단단하게 고정되는
최소한의 시간이 필요하고,
내 이 모양에 맞게
최종 크라운이 만들어지기까지는
일주일 정도의
시간이 걸리게 됩니다.
그런데 임시 치아 없이
삭제된 것 그대로 사용하시게 되면
약해진 이가 부러지거나 금이
갈 수 있습니다.
이럴 때, 임시로 이를
보호할 수 있는 보철을
제작하게 됩니다.
그리고 앞니인만큼 발치된
부위를 그대로 드러내게 되면
미관상 보기 좋지 않습니다.

그렇기에 임시 보철을
올림으로써, 심미적인
기능을 회복하는 데
많은 도움을 받을 수 있습니다.
잠시 사용하실 것이지만,
동탄동 치과 에서
앞니의 형태를 제작하여
실제 생활하시는 데
어려움이 없습니다.
현재, 임플란트 픽스처가
뼈와 단단하게 유착될 때까지
기다려주고 있는데요.
단단하게 고정된 이후로
동탄동 치과 에선
앞니 크라운을
올려드릴 예정에 있습니다.
이제는 구강에 대한 고민, 덜어내세요!
당일 발치 후 임플란트 수술,
그리고 임시 치아까지
이 과정에서 느낄 수 있는
불안감과 전체 치료 기간을
줄여드리겠습니다.
감사합니다.
통증을 최소로 줄여
치료하기를 지향하는
동탄동 치과 였습니다.

진료 기간:2025.01.07~ 현재 진행 중
