세교동 치과 어금니 옆면 깨짐 으로 다발성 인접면 우식(충치)로 치아 신경치료 과정으로 해결
안녕하세요
어금니 깨짐 증상도
말끔하게 해결해드리는
세교동 치과 입니다!
오늘은 오른쪽 어금니가 깨지셔서
내원하셨던 환자 사례를
소개해드리려 합니다.

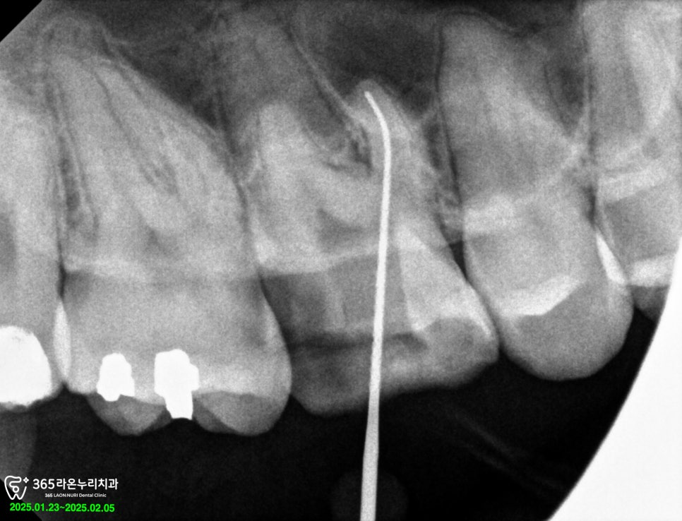
엑스레이 및 구내 포토를
통해 치아의 상태를 정확히
진단하고 파악했는데요.

진단 결과, 인접면 (옆면) 부위에
광활한 충치를 발견할 수 있었습니다.
그런데, 한 쪽 뿐만 아니라 다발성
인접면 우식이 관찰되었습니다.
▮ 다발성 우식이란?
여러 개의 치아에 동시에 발생하는
우식을 말합니다.
이는 일반적으로 구강 위생이
불량하거나 식습관이 불량한
경우 더 자주 발생합니다.
급속도로 진행되는 특징을 갖고 있기 때문에
조기 발견 및 충치치료가 더욱 중요한
증상에 속합니다.
현재로써는 이미 신경과 가깝게
진행되었기 때문에 지속적인
자극으로 통증이
나타나고 있던 상황이었습니다.
이에 세교동 치과 에서는
옆면에 나타난 충치까지
깔끔하게 제거한 다음
신경치료 및 레진 코어를
진행하기로 결정 했습니다.

우선 오른쪽 위턱 작은 이에
나타난 충치들을 모두 제거해주었습니다.
그리고 나서 건강한 치아 부분이
많이 남지 않았기 때문에 이를 보호할
인레이를 제작해드리기로 합니다.
손상된 치아 부위에, 원래 고유한 형태와
기능을 재현하기 위해 인레이 제작에
들어가게 되었습니다.

그다음, 맨 뒤에 있는 부위의
기존 아말감도 제거해주었습니다.
아말감을 제거한 다음 약해진
치아 사이로 감염이 일어난 곳의
충치를 깔끔하게 없애주었습니다.
정상 치아를 최대한 보존하면서
우식 치질을 없애기 위한 노력을
거듭했습니다.
그다음 내부에 감염된 신경들을
제거해어 소독을 진행하였습니다.

내부를 소독한 다음 오래
유지할 수 있도록 신경관 내부를
깔끔하게 채워드렸습니다.
이후 소독을 진행하고
근관을 채운 다음 밀폐합니다.
마지막으로 치아를 복원하고
보호하여 진료를 마무리 해주었습니다.
세교동 치과 에서는 꽤 까다로운
신경치료 과정을 진행하였는데요.

보통 제1대구치라고 불리는 큰 어금니의 경우
신경 근관이 3개 또는 4개를 가지고 있습니다.
이분은 4근관으로, 다른 곳보다
치아의 뿌리가 더 많고
양이 일정하지 않기에
놓치기 쉬운 형태였는데요.
신경치료를 잘하는 치과의사일수록
평균치와 다른 의외의 근관을 찾는 것에
능숙하다는 말이 있습니다.
잘하는 사람한테는 네번째 근관이
더 잘 보인다는 뜻입니다.
숙련도가 높을 수록 이렇게 숨겨진
근관을 잘 찾아내어, 미세한 곳까지
꼼꼼하게 채워줄 수 있습니다.
이런 근관 치료의 불확실함을
잘 해결하려면 그만큼의 많은 임상 경험을
동반할 필요가 있습니다.
세교동 치과 원장의 노련한 임상
기술과 루페 장비를 이용한 신경치료 과정을
꼼꼼하게 진행하여 해당 과정은
잘 마무리 지을 수 있었습니다.
신경치료 이후
치아를 보호할 수 있는 크라운을 씌우기 위한
코어를 만들어 주었습니다.
코어를 단단하게 만든 다음
인상채득을 진행하여
맞춤 인레이를 제작하였습니다.

세교동 치과 에서
치아 가 파절된 곳을
깔끔하게 제거하여
인레이 보철치료를
완료한 모습입니다.
인레이는 교합압에 의해
쉽게 깨지지 않기에
오랜 기간동안 사용
가능합니다.
인레이 보철을 제작하고 나니,
어금니가 한층 단단해졌습니다.
이제 옆면 파절 걱정은
내려놓아도 되겠습니다. ^^
옆면 어금니 깨짐 부위는
해소되었고 크라운은
치아 색이 나게끔
자연스럽게
제작해드렸습니다.
감사합니다.
세교동 치과 였습니다.
진료 기간:2025.01.23~2025.02.05

