앞니 잇몸 고름 으로 인한 통증 신경 치료 후 임시 치아 제작 다음 최종 크라운 완성한 오산역 치과
안녕하세요
오산역 치과 입니다.
오늘 소개해드릴
잇몸 통증 사례입니다.
위쪽 앞니 잇몸에 통증이 나타나
여기로 오기 전,
먼저 타치과에 가셨다고 합니다.
그 곳에서
잇몸에 통증이 생기는
이유로,고름 때문에
신경이 죽었다는
말을 들으셨다고 하셨는데요.

내원 횟수를 생각해서
더 가까운 위치에 있었던
오산역 치과 로 오게 되셨습니다.
저는 극심한 통증으로
힘들어하셨던 환자분의
구강 상태를 자세히
확인해보기로 했습니다.

오산역 치과 에서는
엑스레이 및 CT를 촬영한 이후,
치아 뿌리 끝에 염증이 어느정도로
퍼졌는지 확인을 거쳤습니다.
검사 결과 치아 뿌리 끝까지 염증이 꽤 퍼졌지만
치아를 뽑지 않고 보존할 수 있게
신경치료 및 재보철 치료 진단을 내렸습니다.

그리고 나서 기존 보철에 구멍을
뚫고 신경치료 과정을 진행하게 되었습니다.
현재는 치아 뿌리 끝에 염증이 많이 있던 상태라,
근관(신경관) 소독 과정을 여러번 진행해주었습니다.

신경치료 과정을 마친 다음,
크라운을 올릴 수 있는 모양으로
치아를 깔끔하게 다듬어드릴 차례입니다.

그렇게 프렙을 거쳐 치아를 깔끔하게
다듬어드린 다음 코어를 채웠습니다.
그다음, PMMA 임시 치아 제작을 위한
스캔을 진행한 뒤 인상 채득을 마쳤습니다.

그리고 나서 인접치아에 있던
충치를 제거한 다음 임시 치아를
세팅한 모습입니다.
최종 크라운이 완성되기 전까지
앞니의 역할을 대신 수행해줄
임시 치아가 잘 제작되었습니다.

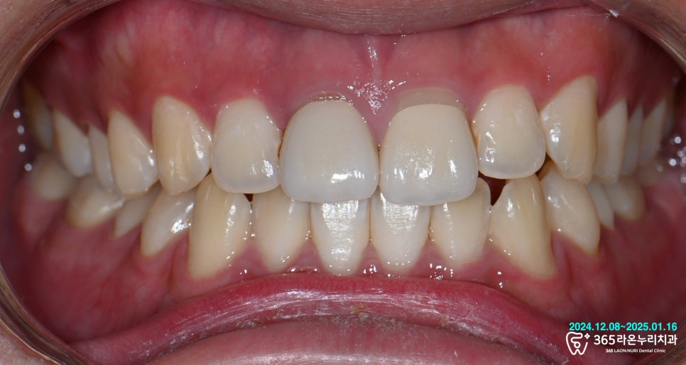
이제 최종 크라운을 제작할 차례입니다.
쉐이드 테이킹(Shade taking)을 통해
치아의 색을 신중하게 결정했습니다.
그렇게 결정한 색을 토대로,
지르코니아 크라운을 올려
완성해드렸습니다.
기존 보철은 치아 형태가 각각 다르고
순측 마진이 맞지 않아
예쁘지 않았습니다.
그렇기 때문에 오산역 치과 에선
앞니 지르코니아 제작 과정에서
색과 모양에 많은 공을 들였습니다.
사람마다 고유의 색조가 다양하고
또 한 사람의 치아 중에서도
여러 색조가 나타나기 때문인데요.
이 색을 맞추기 위해 오산역 치과 에서는
여러 종류의 색 샘플을 가지고 있기 때문에
환자 자연 치아와 유사한 색으로
제작해드리고 있습니다.
앞니인 경우 많이들 지르코니아를 선택하시는데요.
자연스러운 앞니를 위해 지르코니아 보철에
세라믹으로 표면 질감을 더하여
자연 치아와도 조화롭게 보일 수 있도록
제작해드렸습니다.

그 결과, 심미적으로
자연스러운 보철이 제작되었습니다!
▮ 깔끔하게 만들어드릴 수 있었던 비결은 뭘까요?
그 비결은 원내 기공소 보유로,
병원과 기공소 간 편안한 소통으로
오류는 적고 높은 퀄리티의 크라운
보철이 나올 수 있었습니다.
원활한 소통으로 치과 의사와
기공사가 협업하여 환자
개개인의 치아 상태에 맞추었기에
더욱 자연스럽게 만들어졌습니다.
이렇게 원내 기공소를 가진 오산역
치과 에서는 많은 장점을
가지고 있다고 자부합니다.
또한, 기공소가 있기 때문에
만일 보철이 깨지거나 조정이
필요한 순간에도 별도의 추가
시간 없이 즉시 수리하거나
수정을 진행할 수 있습니다.
무엇보다 환자의 요구를 즉시
반영할 수 있어 심미적인
결과가 더욱 만족스러운 편입니다. ^^
앞니 잇몸 고름으로 인한
치아 통증을 줄여드릴 수 있어서
정말 다행입니다.
감사합니다.
오산역 치과 였습니다.

치료기간 : 2024.12.7 ~ 2025.1.24