틀니 사용 중에 임플란트 하고 임시치아로 당일 식사 가능하게 하는 <꿀팁> 서정리역 치과
서정리역 치과
365라온누리의 박흥재 원장
인사드립니다.
『 저희 365라온누리 정식 개원일은
12월 2일 월요일로 확정되었으니
내원하시는데 참고하시길 바랍니다.^^』
오늘도 역시 제가 이전에 진료해 드렸던 환자 중에
다수의 임플란트 식립을 한 케이스를
소개해 드리겠습니다.
■ 1. 증상
“전체 검진받고 싶어요.
오른쪽 위 송곳니는 흔들리고
틀니는 불편해서 임플란트 하고 싶어요.”
■ 2. 검진
구강을 먼저 살펴보겠습니다.

아무래도 마지막 검진을 받은 지
꽤 되신 것 같은 구강위생 상태로
오른쪽 위 송곳니 부근(사진에서는 왼쪽 위)은
심하게 쌓인 치태는 물론
염증도 한눈에 관찰됩니다.
잇몸이 많이 내려가고
치아의 흔들림도 심해
곧 빠질 것만 같아 보였습니다.

아래 앞니는 ‘플리퍼’라 부르는
꼈다 뺐다가 가능한 보철을 사용하고 계셨는데

아무래도 자연치처럼 붙어있지 못하고
들썩거리기도 하며
꾸준히 관리를 해줘야 되니
번거롭고 힘드셨다 합니다.
■ 3. 진단

파노라마를 찍어
눈에 보이지 않는 부분도 살펴봐야겠죠?
방사선량을 최소로 한
엑스레이 장비를 이용하여
촬영해 보았습니다.
(저희 서정리역 치과 에서도
방사선량을 최소화한 안전한 장비로
진단해 드릴 계획이랍니다.)
엑스레이를 보면
흔들리고 염증이 있던
오른쪽 위 송곳니(#13)는
치아 뿌리 끝까지 골소실 소견을 보이고 있어
빠른 개선이 필요하겠습니다.
■ 4. 치료 과정
먼저 문제가 되던 #13은 발치 후
그 주변으로 뼈이식을 해두었습니다.
그리고 하악 역시 디지털 가이드를 제작하고
임시치아를 만들어드리기로 했는데요,
그렇게되면 기존의 플리퍼보다
고정력이 있어 사용하는데 훨씬
편하실 겁니다.
또한 직장 문제로 자주 내원이 어려우셨기에
내원 횟수 최소화를 위해
디지털 가이드를 이용하기로 했습니다.
디지털 가이드를 이용하면
하루에 여러 개의 픽스처를
심어드릴 수 있으니 말이죠.

이렇게 서지컬 가이드를 이용하여
계획을 마치고 나면
그 자리에 임플란트를 심게 되는데
마취도 잘 풀리시는 편이고
잇몸이 잘 부으셔서
수술 전중후 여러 번 체크해 드렸던 게
기억에 남네요.
또한 가글 마취 – 도포마취 – 무통마취를 거쳐
통증 완화를 위해 노력했습니다.
다가올 12월 서정리역 치과
365라온누리에서도
이와 같은 ‘3단계 통증 완화 시스템’을 이용하여
여러분의 불편감을 줄여드릴 예정이랍니다.
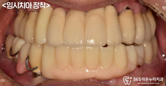
■ 5. 임시치아 제작
이 케이스에서는
워낙 염증이 심하고 뼈도 많이 없으셔서
인공뼈를 이식한 뒤 기다리셔야 됐는데요,
그 사이에 사용하실
임시치아 제작 과정을 설명드리겠습니다.

먼저 기존에 남아있던 잔존치가
보철이었기 때문에
스캔 및 엑스레이에
빛 반사와 scattering이
나타나면서 정확도가 떨어질 수 있습니다.
이러한 한계를 극복하기 위하여
잇몸 쪽에 T 마커를 부착 후 스캔하였습니다.
*T 마커 : 레진 같은 재료를 잇몸에 잠시 덧대어서
인상채득한 자료의 정합을 돕기 위함
서정리역 치과 에서도
전악 무치악 환자나
보철로 인한 한계가 있으신 환자들에게
활용할 것이랍니다.

임플란트를 심고 나서
바로 올려드릴 수 있는 보철을
만들고 있는 모습인데요,
T 마커 덕분에 디자인이
아주 예쁘게 잘 나왔습니다.

픽스처를 심은 당일에
그 위로 바로 어버트먼트를 연결해 드렸고

그 위로 임시치아까지
올려드렸습니다.
주변 자연치와 유사한 색으로
자연스럽게 만들어드렸으며

위쪽(교합면)에서 바라보면
이렇게 보이는데
이전의 플리퍼와 달리
어버트먼트에 살짝 기대어 올려드렸기에
훨씬 더 고정력이 있고 편하실 겁니다.
현재도 회복 중에 있어
저희 서정리역 치과 에 오셔서
마저 봐드리기로 했네요.
나중에 모든 진료가 끝나고 나면
이 케이스는 한 번 더 설명드리겠습니다.^^
임플란트는 비용이 저렴하지만은 않기에
꼭 필요한 진료임에도 부담이 되실 수 있습니다.
저희 서정리역 치과 에서는
그 마음을 누구보다 잘 알기에
비용을 조금이라도 절감하면서
튼튼한 이를 만들어드릴 수 있도록
언제나 노력하고 있습니다.
오늘 사례를 보시는 환자들에게
그 점이 잘 전달되었으면 좋겠다는 생각을 가지며
긴 글 마치겠습니다.
지금까지 365라온누리의 박흥재 원장이었습니다.
서정리역 치과 에서는
환자의 신체적-비용적 부담을 고려한
꼭 필요한 진료만 해드립니다.



