불편한 틀니는 그만! 어금니 임플란트 오산역 치과 에서 편하게 진료 받으세요.
안녕하세요,
오산역 치과
박흥재 원장입니다.
나이가 들면서 구강 건강을 잘 유지하는 것은
이제는 선택이 아닌 필수입니다.
구강 조직을 비롯한 기저 건강 상태의 변화가
노인들의 건강에 영향을 미칠 수 있기 때문이죠.
그렇기에 노인 치아 관리의 중요성을 깨닫고
더 나은 삶의 질을 위하여
치아와 잇몸을 건강히 유지해야 됩니다.
오늘은 제가 이전에 치료했던
환자 사례를 들려 드리도록 하겠습니다.
■ 1. 초진
70대 남성으로
임플란트 상담을 원하셔서 내원하셨습니다.

환자 개인 문진표를 먼저 작성하고 살펴보니
다행히 앓고 계신 전신질환이 없고
현재 복용 중인 약도
크게 없으신 것으로 확인되었습니다.

먼저 위쪽 사진인데요,
본인이 가지고 있는 치아가
모두 상실된 게 보이시죠?
그 때문에 틀니를 쓰고 계셔서
치조골의 두께가 조금 들쑥날쑥해 보이긴 합니다.

아래쪽 사진입니다.
어금니 부근이 없으셔서
앞니로만 식사를 하실 수 있는 상태네요.


실제 구강 사진과
엑스레이를 나란히 비교해놓고 보면
앞니 치근은 비교적 양호한 상태였으며
오른쪽 아래(45번) 치아만 뿌리 부근에
염증 소견이 보이고
흔들림(동요)이 있었습니다.

자세히 보기 위해
치근단 x-ray 사진을 촬영했습니다.
예상대로 뿌리 주변 뼈가
모두 녹아서 흔들림이 있기에
하루빨리 발치를 하여
뼈가 더 녹는 것을 막아줘야 됩니다.

겉으로 봤을 때도 염증이 보이고
통증도 동반된 채로 불편하다고 하셔서
신속한 조치가 필요해 보이네요.
환자께서 상악 틀니는 이상이 없어
그대로 사용하고 싶다 하셨으며
아래만 임플란트를 심길 원하셨는데요,
저희 오산역 치과 에서는
환자의 의견을 존중하며
원하시는 방향대로 진행해 드리기로 했습니다.
추가로 환자께서 건강보험 혜택 조건에
해당되어서 적용해 드리기로 하였는데,
“
여기서 잠깐,
건강보험 임플란트란?
“
만 65세 건강보험 가입자에 한하여
1인당 평생 2개 이내
본인 부담금 30%의 비용을 통해
임플란트 시술이 가능한 건강보험 혜택입니다.

단 치아가 단 1개라도 남아있어야 되고,
무치악이라면 적용받기 어렵습니다.
이 케이스에서는 적응증에 해당되어
순차적으로 진행해 드렸답니다.
■ 2. 치료 과정

흔들리던 곳은 발치 전ct 촬영을 하여
해부학 구조와 위치를 살펴봅니다.

하치조 신경과 충분한 거리가
확보되어 있음을 확인하고

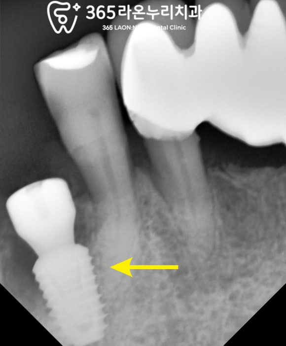
픽스처 식립 후 엑스레이를 찍고 보니
위에 틀니를 고려해 어금니 간격에 맞게
잘 심어졌네요.
식립과 동시에 뼈가 손실된 부위를
뼈이식을 통해 채워 넣었습니다.

뼈이식을 하고 픽스처도 동시에 식립해 드렸으며
어느 정도 단단하게 유착이 되길
1개월 정도 기다렸던 것 같네요.

스캐너 design
위 사진은 임플란트 임시치아는
픽스처가 안정될 때까지 임시로 사용될
임플란트 임시치아를 디자인하고 있는 모습으로,
상악의 틀니와 잘 맞는지,
턱이 불편하지 않고 잘 적응되시는지
함께 체크할 수 있습니다.
저는 의사지만 기공사 못지않게
이러한 보철 디자인에도 흥미가 있고
임시치아 제작에 관심이 많아서
아직도 꾸준히 기공 세미나를 듣고 있는데요,
앞으로 365라온누리를 내원하시는
환자들께 조금이라도 수월한 진료를 해드리려고
많은 노력과 최선을 다하고 있다는 점도
알아주셨으면 좋겠습니다.^^
■ 3. 아래 어금니 조정 및 완성

위에 틀니를 사용하면서
implant에 적응하실 수 있게 임시 제작을 해드리고
불편한 것은 없으신지 모두
체크를 하고 보철을 올려드렸습니다.

아무리 픽스처를 잘 식립했다 하더라도
하부에 보철이 들어가면 어색함이
나타날 수 있기 때문에
여러 번 조정하면서 진행했습니다.

기존 틀니랑 안 맞으면
임플란트를 해야 되는 걱정이 있으셨는데
생각보다 편하고 저작도 잘 돼서
만족하고 사용하고 계신다 합니다.^^
정기검진으로 내원하셨을 때,
“지금 아무런 이상도 없고
아픈 것도 없고 오히려 너무 편해서
진작에 고민하지 말고 진행할 걸
후회될 정도예요!”
라며 좋은 말씀도 해주셨답니다.
오늘 오산역 치과 에서는
연세가 있으신 환자의
임플란트를 진료한 케이스를 써보았는데요,
구강 건강은 삶의 질을 보존하는데 필수입니다.
세월이 지나고 나이가 들면서
관리가 소홀해지면
결국 후회를 하게 됩니다.
치료를 해야 된다는 것을 알고도
고민만 하고 시간이 계속 흘러가게 되면
더 나빠지고 괴로워지겠죠.
그렇기에 나이와 관련된 변화를 이해하고
알맞은 구강 위생 습관을 실행하면
사전에 미리 예방할 수 있겠죠?
저희 오산역 치과는
10년 이상의 경력으로 풍부한 경험을 가진
제가 양심에 따라 올바른 진료만 하고 있습니다.
임플란트 망설이지 마시고
진단받으러 오시면
정성을 다해 모시겠습니다!
오늘은 이쯤에서 마무리하겠습니다.
긴 글 읽어 주셔서 감사드리며
좋은 날들만 가득하길 바겠습니다.
오산역 치과 365라온누리 대표원장
박흥재였습니다.

치료 기간 23/10/17~24/01/03



