영구치 앞니 깨짐 현상 나타나 수청동 치과 에서 치아 색 나는 당일 임시 보철 제작하여 해결한 사례
안녕하세요
수청동 치과 입니다.
저녁 식사 도중 씌운게 깨져나가면서,
이가 아예 부러져 나갔다는
말씀을 하시며 급히 내원하셨던
사례입니다.
갑자기 깨져 나갔다니
얼마나 당황스러우셨을까요..
수청동 치과 에서
구강 검진을 통해
자세히 살펴보기로 합니다.

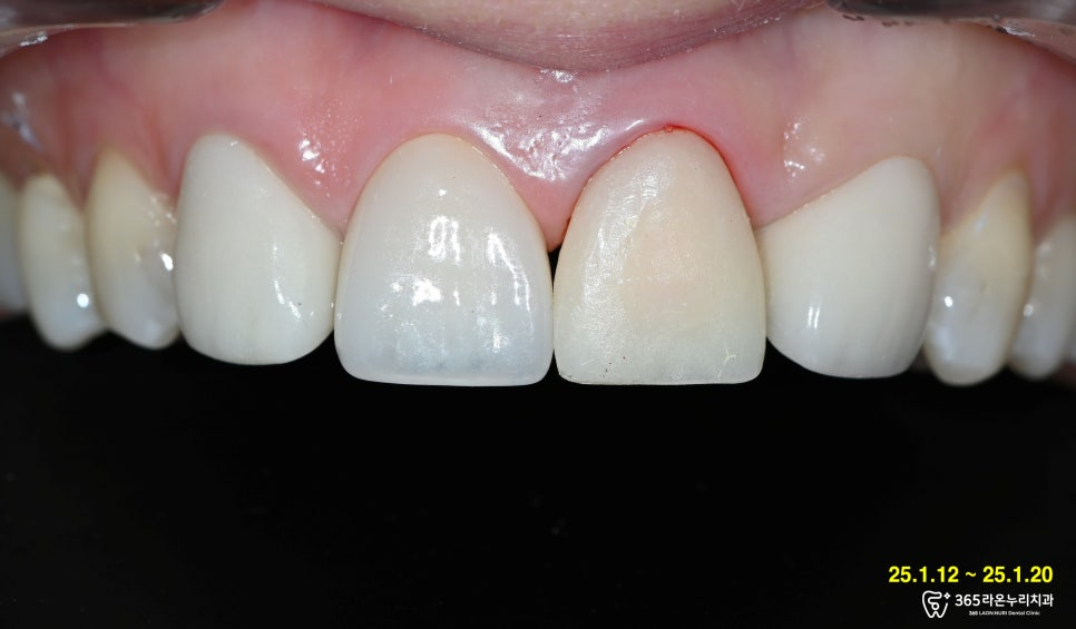
정면에서 왼쪽 앞니가
깨져 나간 것을 확인할 수 있었습니다.

엑스레이 촬영 및 진단 사진을
촬영 이후 영구치가 신경 부근까지
파절되지는 않았으나
재제작이 필요하다는
설명을 드렸습니다.

기존 크라운 제거 후 당일 프렙(다듬기)을 통해
보철이 잘 들어갈 수 있도록 만들어주었습니다.

그리고 나서 임시 치아 제작을 진행하였습니다.

당일 임시 치아는
영구치 발치, 그리고 임플란트 식립 후에도
즉시 착용이 가능한 종류인데요.
내 앞니의 모양과 맞게 최종 보철이
만들어지기까지는 일주일 정도의
시간이 걸리게 됩니다.
그런데 삭제된 이 그대로 사용하시게 되면
약해진 이가 부러져버리거나, 추가적으로
금이 갈 수 있습니다.
그렇기 때문에 연약한 치료 부위를
보호하기 위해서는 반드시 필요합니다!
임시 치아를 사용해야 되는
상황에서의 주의사항은
다음과 같습니다.
————————————————————
1) 딱딱하거나 끈적한 음식은
최대한 피해주세요.
2) 사용을 하다가 부러지게 되면
재제작을 해야 될 뿐더러 임플란트를
심은 잇몸과 뼈에 자극이 갈 수 있기에
조심히 사용을 하시는 것이 좋습니다.
3) 만일 구강에서 탈락했다면
즉시 내원하셔서 재제작을 할 필요가 있습니다.
————————————————————
임시 치아인데도 원래 있었던 것처럼
편하다고 말씀하셨던 기억이 나네요. ^^
그다음 영구치 앞니 깨짐 부위에
인상 채득을 시행하였는데요.
최종 크라운이 만들어진 이후
환자께서는 수청동 치과 로
다시 내원해주셨습니다.

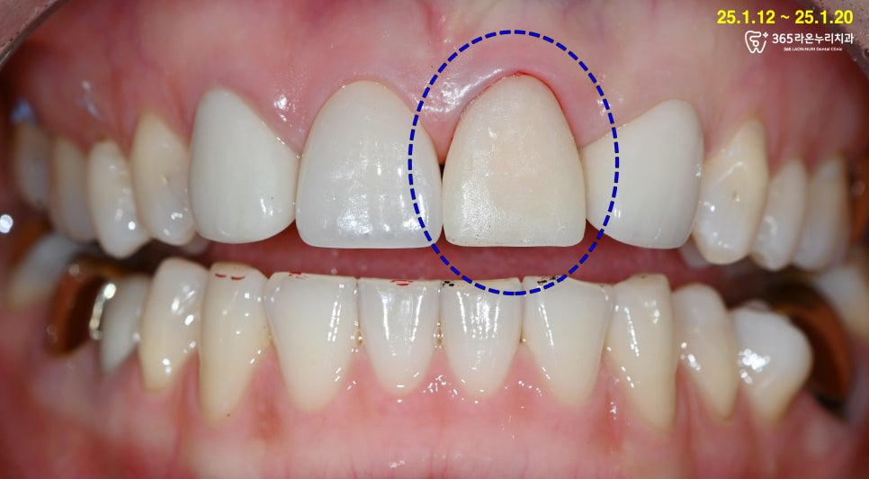
최종 크라운을 끼운 후의 모습입니다.
지르코니아 크라운의 경우
모양을 정교하게 만들고
제작 진행 과정은 골드
크라운보다 까다롭기에,
정밀하게 제작하는데 몰두했습니다.
그렇게 최종 크라운 형태 및
쉐이드 모두 기존 이와
유사하게 나와 심미보철
또한 높은 진료 퀄리티로
만족시켜드릴 수 있었습니다!
어디를 진료했는지 모를 정도로
기존 영구치와 정말 유사한 색을 띕니다.

교합 관계까지 고려하여 제작해드린 덕분에,
앞니끼리의 맞물림이 편안하고
보기에도 심미적이지요?
잇몸 모양이 예쁘게 잡히면서
보철의 경계도 드러나지 않습니다.
환자께서도 굉장히 만족해하셨었는데요.
앞니 깨짐 부위가 잘 메워져서 다행입니다.

앞으로도, 수청동 치과 에서
영구치 앞니 보철이 잘 유지되는지
정기검진을 통해 주기적으로
관찰하기로 했습니다.
갑자기 앞니 깨짐 이 일어나거나,
보철치료를 받은지 오래되셨다면
꼭 한 번씩 검진을 받아보시는 것이
좋겠습니다.
갑작스러운 앞니 깨짐 현상에도
수청동 치과 의 영구치 치료를 통해
자신있는 미소를 되찾아 가시길
바랍니다!

진료 기간:25.1.12 ~ 25.1.20
