오산세교 치과 에서 틀니 대신 임플란트 올온엑스(all on X)로 식사할 수 있게 되신 60대 환자의 이야기
반갑습니다,
오산세교 치과
박흥재 원장입니다.
어르신들께서는
전체 임플란트를 하게 되면
비용이 부담되어
틀니를 하시는 경우가 많습니다.
그러나 오랫동안 사용하다 보면
잇몸과 치조골이 위축되고 변하면서
통증을 일으켜
편히 사용하시기 어려운 일들이
찾아올 수 있습니다.
이렇게 되면
식사를 하거나 말을 할 때도
어려움이 많으시겠죠.
그래서 저희 오산세교 치과 에서는
이러한 문제로 고민하시는 환자들을 위하여
all on X라는 방법도
권유 드릴 예정인데요,
틀니 대신 최소 개수의
임플란트를 식립하는 방법으로서
전악 식립이 필요한 구강의 경우
훨씬 더 저렴한 비용으로
개선할 수 있다는 큰 장점이 있습니다.
지난번에 설명드린 링크도
한번 읽어보시면 이해하는데
더욱 도움이 되실 겁니다.^^
상악 전체 틀니와 하악 똑딱이 임플란트
: 세교 치과 전후 사례
오늘은 제가 이전에 진료했던 분 중에서
위와 같은 방법으로
정말 만족스러운 결과를 얻어가신
케이스를 소개해 드리겠습니다.
■ 1. 초진
“전체 임플란트 해야 될 거 같아요.
이가 없는 채로 지낸지 너무 오래돼서
이제는 너무 힘들어요.”
위와 같은 이유로 찾아오신 환자였습니다.

구강을 살펴보면
남아있는 이가 몇 개 없고
그마저도 이미 많이 흔들리고 있었습니다.

장기간 이가 없이 지내시다 보니
턱도 그에 맞추어 조금씩
변화가 일어나고 있었으며

무엇보다 식사를 하기 힘드니
환자께서는 전신 건강도
안 좋아지고 있다며 빠른 해결을 원하셨습니다.
■ 2. 임시틀니 제작
다수의 치아가 없는 분이라면
어떻게 치료하게 되는지
오산세교 치과 에서
쉽게 설명드려보겠습니다.
먼저 임시틀니를 제작합니다.
남아있는 몇 개의 이를 뽑고 나서
임플란트를 심더라도
어느 정도 뼈와 달라붙을 때까지
기다려야 되기 때문에
그 기간 동안 사용하실 용도랍니다.
(저희 오산세교 치과 에서는
자체 기공소를 두고 있어
이 부분만큼은 확실하게 책임져
일상생활을 하시는데 어려움이 없도록
해드릴 예정입니다.^^)

이 분께서도
수술 전 위와 같이 안모를 본뜨고,

구강 스캔을 통해
임플란트 식립 위치와 각도를 파악할
서지컬 가이드를 만들었습니다.
이렇게 보기엔 다소 간단해 보일 수 있으나
픽스처가 고정력을 잘 받을 수 있는
좋은 위치를 신중하게 선택해야 되고
아래턱뼈 안에 지나가는 신경까지
고려하여 제작해야 됩니다.

또한 식립이 끝나고 나서
바로 사용하실 수 있도록
임시치아도 만들었는데요,
심어둔 픽스처에 영향을 주지 않으면서
환자의 얼굴에 자연스럽게
장착될 수 있도록
섬세하게 디자인했습니다.
■ 3. 임플란트 식립

위턱뼈는 아래턱뼈에 비해
상대적으로 무른 성질을 갖고 있어
왼쪽 위 어금니 부근부터
픽스처를 심었습니다.
그 이후에 하악은
사전에 제작한 가이드를 이용하여
풀식립을 진행했습니다.

그리고 나면 수술 전 미리 디자인해둔
임시치아를 프린팅 하여
올려드리는데요,

어느 정도 잘 유지될 수 있도록
어버트먼트라는 연결지대주의 도움을 받아
이렇게 임시치아를 넣어드렸습니다.

아직 2단계 정도밖에 진행되지 않았는데
벌써 전보다 훨씬 자신감도 생기시고
만족하셨습니다.
이제 곧 개원하는
오산세교 치과 365라온누리에서도
늘 환자들의 만족을 위해
꾸준히 노력하겠습니다.^^

그러고 나서 이어서
위 앞니도 뽑고
새로 심어드렸습니다.
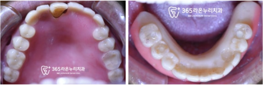
■ 4. 최종 보철 수복

치아 없이 오래 지내셔서
하루라도 빨리 저작하실 수 있게
최종 보철을 만들고 있는 모습입니다.
위아래 앞니의 가운데 선(정중선)을
고려하여 하악 all on X를
제작하였으며

그간 불편감을 최소화하기 위해
임시치아를 끼면서 적응도 많이 하셨기에
마지막 장착 날에는
큰 교합조정 없이
편안하게 안착되었습니다.

이전과 달리 웃을 때
훨씬 예쁘고
본래 내 이처럼 자연스럽죠?

픽스처 식립 위치,
각도, 방향에 맞추어
하악의 all on X가 편안히 올라가
환자께서 정말 많이 만족해하셨답니다.

최근 제가 오산세교 치과 를
개원한다 말씀드리니
앞으로의 검진은 저에게 오겠다 하셨네요.
마지막으로 오른쪽 위 어금니도
제게 건강보험 혜택을 받으며
수술을 진행하셨기에
앞으로 저희 365라온누리에서
책임지고 봐드리겠습니다.^^
이 글을 읽고 계시는 사람들 중에
여러 개의 치아가 흔들리거나
전악 개선을 위해
어디를 가야될지 알아보고 계시다면
주저 말고 오산세교 치과 로
오셔서 상담받아보시길 바랍니다.
풍부한 경험과 숙련된 실력을 갖춘 제가
직접 여러분의 고민을 해결해드리겠습니다.
읽어주셔서 감사합니다.
날이 많이 추운데 건강 잘 챙기시고
저는 다음번 더 좋은 내용으로
찾아뵙겠습니다.
지금까지 오산세교 치과
365라온누리 대표원장
박흥재 였습니다.

치료 기간 : 2024.03.02 ~ 상악 진행 중


